Milly wurde uns schon vor einem halben Jahr vorgestellt, weil sie viel trank und trotz kalorienarmem Diätfutter nicht abnahm. Der klinische Untersuch sowie eine umfassende Blutuntersuchung waren damals unauffällig gewesen, weshalb das Problem vorerst nicht weiter verfolgt wurde.

Nun hat die Besitzerin bestürzt festgestellt, dass Milly an der rechten Seitenbrust plötzlich eine handtellergrosse Wunde aufweist. Die Katze trinkt auch weiterhin viel und scheint in den Hinterbeinen kraftlos; ausserdem sind die Pupillen weit geöffnet und die Katze scheint schlechter zu sehen. Seit dem letzten Untersuch vor 4 Monaten hat die Katze massiv Gewicht verloren.
Die Pupillen sind beidseits erweitert und die Reaktion auf Tests zur Beurteilung der Sehkraft ist reduziert. Die Netzhaut beider Augen ist aber unauffällig. Eine erneute Blutentnahme zeigt, dass der Blutzucker stark erhöht ist. Vorsichtig wird die Wunde in Sedation ausgeschoren. Die Haut fühlt sich unelastisch und papierdünn an und reisst beim Ausscheren an einer anderen Stelle spontan auf.
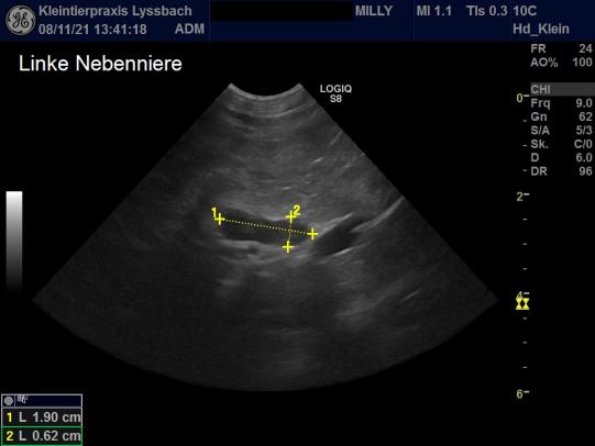
Die Vorgeschichte (Gangprobleme, erhöhte Trinkmenge, eingeschränkte Sehkraft) und die Untersuchungsergebnisse (Hautveränderungen und Hautqualität, neurologische Defizite, erhöhter Blutzucker) wecken den Verdacht, dass Milly an einer bei Katzen seltenen Nebennierenüberfunktion leiden könnte. Zum Beweis der Erkrankung müssen weitere Bluttests (Dexamethason-Hemmtest) und eine CT- oder MRT-Aufnahme durchgeführt werden; allerdings kann auch eine Ultraschalluntersuchung wertvolle Hinweise liefern. Tatsächlich ist im Ultraschall ersichtlich, dass beide Nebennieren von Milly stark vergrössert sind: Normalerweise ist dieses Organ bei der Katze etwa 11 Millimeter lang und 4.3 mm dick; bei Milly sind die Nebennieren mit ca. 19 mm x 6 mm viel grösser. Mit sehr hoher Wahrscheinlichkeit leidet die Katze an einer Nebennierenüberfunktion (Hyperadrenocorticismus) und parallel verlaufender Zuckerkrankheit (Diabetes Mellitus).


In einem längeren Gespräch werden die Optionen mit der Besitzerin besprochen. Die Nebennierenüberfunktion ist bei der Katze eine komplizierte Erkrankung; eine Behandlung zielt meist auf ein Wiederherstellen der Lebensqualität und Kontrolle des Problems während einer befristeten Zeit ab und beinhaltet im Minimum eine konsequente Verabreichung von Medikamenten. Neben dem eigentlichen Problem der erhöhten Cortisolbildung im Körper, welches meistens durch einen Tumor in der Hirnanhangsdrüse verursacht wird, müssten bei Milly allenfalls anschliessend auch der durch die Erkrankung zusätzlich ausgelöste Diabetes Mellitus (s.U.) sowie natürlich die schwere Schädigung der Haut angegangen werden. Nach reiflicher Überlegung entscheidet sich die Besitzerin gegen eine weitere Diagnostik und zur Euthanasie der Katze.
Während die Nebennierenüberfunktion beim Hund eine recht häufige Hormonerkrankung darstellt (siehe Fälle 83 und 107), ist die Krankheit bei Katzen selten. Ursache ist in den meisten Fällen ein Tumor in der Hirnanhangsdrüse, welcher die beiden Nebennieren zur erhöhten Cortisolproduktion anregt und sie dadurch grösser werden lässt. Alle Symptome von Milly passen zu der Erkrankung: Währenddem ein Hirnanhangsdrüsen-Tumor auf die Sehnerven drücken und damit eine Sehbehinderung bewirken kann, schädigt der konstant hohe Cortisolspiegel im Körper die Haut schwer (sogenanntes "Feline Fragile Skin Syndrome"). Obwohl Katzen gegenüber den Nebenwirkungen dieses Stresshormons relativ unempfindlich sind, entwickelt sich in der Folge häufig auch ein zusätzlicher Diabetes Mellitus, weil der erhöhte Cortisolspiegel die Wirkung des körpereigenen Insulins hemmt. Der hohe Blutzuckerspiegel trägt neben dem Cortisol zum erhöhten Wasserkonsum bei und beeinträchtigt auf Dauer die Nerven, welche die Hinterbeine versorgen, was zu einem veränderten Gangbild (sogenannt "plantigrader Gang") führt. Der unbehandelte Diabetes führt zu einem starken Gewichtsverlust.
Ein ähnlich aussehendes, etwas häufigeres Krankheitsbild bei der Katze ist die Akromegalie - hier bildet ein Tumor in der Hirnanhangsdrüse vermehrt Wachstumshormon, was ebenfalls zu einem Diabetes Mellitus und vergrösserten Nebennieren führen kann. Allerdings fehlen bei dieser Krankheit die Hautsymptome, die Katzen nehmen paradoxerweise meist an Gewicht zu und zeigen ein Grössenwachstum des Schädels und der Organe.
Wenn das Problem angegangen werden soll, muss zuerst die erhöhte Cortisolproduktion eingeschränkt werden. Die chirurgische Entfernung des Hirnanhangsdrüsentumors wird in Europa nur an Universitätsspitälern in den Niederlanden und Grossbritannien vorgenommen. Neuere Studien (1, 2) zeigen, dass die chirurgische Entfernung des Hirnanhangsdrüsentumors durch ein geübtes Chirurgenteam relativ gute Resultate liefern kann. Allerdings ist es meist unmöglich, ausschliesslich Tumorgewebe und nicht gleichzeitig auch Hirnanhangsdrüsengewebe zu entfernen, weshalb es im Anschluss an die Operation zu Mängeln an anderen Hormonen kommen kann. Alternativ kann die Geschwulst mittels Bestrahlung im Wachstum behindert werden oder aber die Cortisolbildung in den Nebennieren mittels konstant verabreichten Medikamenten gehemmt werden. Bei etwa der Hälfte der so erfolgreich behandelten Katzen verschwindet der sekundäre Diabetes Mellitus, beim Rest muss diese Zweiterkrankung zusätzlich mit Insulininjektionen behandelt werden. Die starke Verletzlichkeit der Haut verschwindet erst lange nach Normalisierung des Cortisolspiegels, was die Behandlung von Hautwunden zu einem langwierigen Prozess macht.
Die Prognose von Katzen mit Nebennierenüberfunktion ist ohne Behandlung schlecht: die Tiere sterben innert Monaten an den Folgen der Krankheit oder müssen eingeschläfert werden, da sie einen raschen körperlichen Verfall auslöst.
© Dr. med. vet. P. Müller / Lyssbachvet