Ayleen trinkt seit einiger Zeit deutlich mehr Wasser als üblich, ansonsten geht es dem Hund gut. Die Besitzer haben die Trinkmenge gemessen - innert 24 Stunden werden knapp 3 Liter Wasser konsumiert, was für diesen Hund sehr deutlich zuviel ist.

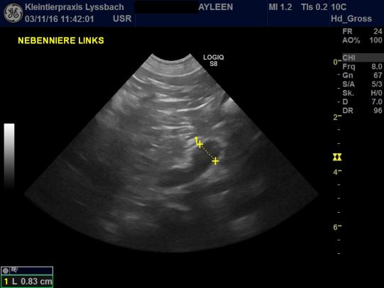
Der körperliche Untersuch von Ayleen verläuft unauffällig. Für das Leitsymptom "PU/PD" (Polyurie/Polydipsie = zuviel Urin absetzen/zuviel trinken) gibt es eine ganze Reihe von Ursachen, weshalb weitere Abklärungen angestellt werden: Eine Blutentnahme zeigt, dass Ayleen weder an einer Zuckerkrankheit, noch an einem Nierenproblem oder einer Erhöhung des Calciumspiegels leidet. Einzig ein spezifischer Leberwert ist erhöht, welcher häufig bei einer Nebennierenüberfunktion ansteigt. Ein entsprechender Test zeigt, dass die Nebennieren von Ayleen viel zuviel Cortison produzieren. Mittels Ultraschall werden die Nebennieren vermessen - die linke Nebenniere ist leicht vergrössert; die rechte Niere ist grössenmässig im oberen Grenzbereich. Es besteht der dringende Verdacht, dass Ayleen an einem sogenannten "hypophysären Cushingsyndrom" leidet - bei dieser Krankheit scheidet ein kleiner Tumor in der Hirnanhangsdrüse zuviel Steuerungshormon ACTH aus, welches die Nebennieren viel zuviel Cortison bilden lässt. Diese Form des Cushingsyndromes ist deutlich häufiger als die Nebennierenform, bei der ein Nebennierentumor zuviel Hormon produziert (siehe Fall des Monats Nr. 83 ).
Nach einem längeren Gespräch entscheiden sich die Besitzer, Ayleen optimal abklären und dann auch behandeln zu lassen - ein Termin zur weiterführenden Behandlung am Tierspital Zürich wird vereinbart.


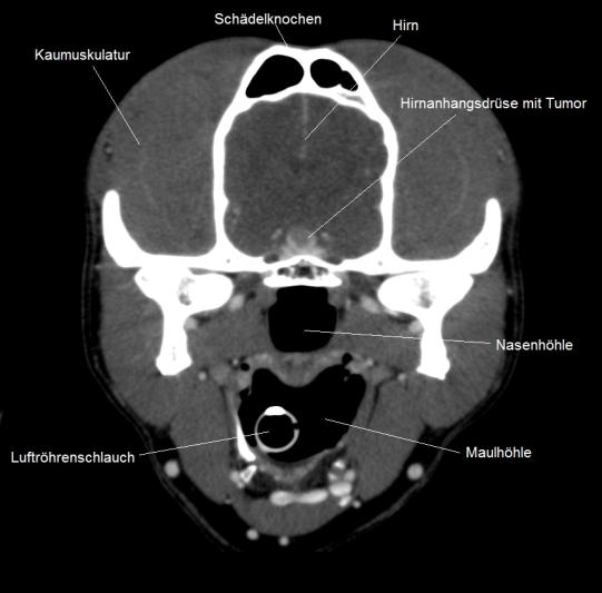
Weitere Blutuntersuchungen am Unispital unterstützen den Verdacht eines hypophysären Cushingsyndroms; ein abschliessendes Computertomogramm bestätigt dann, dass sich in der Hirnanhangsdrüse ein kleiner Geschwulst gebildet hat, welcher offensichtlich hormonell aktiv ist.

Computertomogramm des Kopfes (Längsschnitt) - Bildmaterial: Tierspital Zürich, Abteilung für Bildgebende Diagnostik und Abteilung Radio-Onkologie

Computertomogramm des Kopfes (Querschnitt) - Bildmaterial: Tierspital Zürich, Abteilung für Bildgebende Diagnostik und Abteilung Radio-Onkologie
Bleibt der hypophysäre Cushing von Ayleen unbehandelt, sind mittelfristig diverse Probleme zu erwarten (Hautschäden, Schwächung von Sehen und Bändern, Bildung von Blutgerinnseln, neurologische Symptome wie Blindheit oder Krampfanfälle). Um das Problem zu lösen, stehen drei Optionen zur Verfügung:
1. Eine chirurgische Entfernung des Tumors: Leider müsste bei dieser Option die komplette Hirnanhangsdrüse entfernt werden und der Hund für den Rest des Lebens mit verschiedenen Hormonen versorgt werden; die Operation wird ausserdem in Europa nur an der Uniklinik in Utrecht/NL angeboten.
2. Der Hund erhält für den Rest des Lebens ein Medikament, welches die Hormonproduktion in den Nebennieren bremst - allerdings ist zu befürchten, dass der Hypophysentumor wächst und und mit der Zeit neurologische Störungen verursacht.
3. Der Hypophysentumor wird bestrahlt und so über Jahre in seinem Wachstum gebremst und neurologische Probleme so unwahrscheinlich. Trotzdem würde Ayleen wahrscheinlich Medikamente zur Bremsung der Cortisolproduktion erhalten, weil in den meisten Fällen der geschrumpfte Hypophysentumor trotzdem ACTH produziert.
Die Besitzer entscheiden sich für die Bestrahlung, welche erfolgreich und ohne Nebenwirkungen verläuft: Der Geschwulst wird in Narkose mehrmals von mehreren Seiten bestrahlt - so erhält das Zielgebiet (rote Region, siehe unten) die maximale Strahlendosis, währenddem das umliegende Gewebe eher verschont bleibt.

Planungs-CT der Bestrahlung - der Tumor erhält die höchste Strahlendosis (roter Bereich) - Bildmaterial: Tierspital Zürich, Abteilung für Bildgebende Diagnostik und Abteilung Radio-Onkologie
Nach der Bestrahlung trinkt Ayleen schon etwas weniger Wasser - trotzdem erhält der Hund anschliessend langfristig ein Medikament, welche die übermässige Hormonproduktion in den Nebennieren und damit den Wasserkonsum bremst. Mittels repetierten Blutuntersuchungen wird gegenwärtig die optimale Dosierung des Medikamentes bestimmt, welches Ayleen danach langfristig einnehmen wird.
© Dr. med. vet. P. Müller / Lyssbachvet