Lucas Probleme beginnen, als er sich im rechten Knie das vordere Kreuzband reisst. Nach der Operation des Knies erholt sich der Hund zwar gut und lahmt nicht mehr; einige Zeit später fällt der Besitzerin aber auf, dass Luca immer mehr Wasser trinkt und sein Bauchumfang zugenommen hat. Ansonsten geht es dem Tier gut.

Beim Untersuch von Luca fällt der grosse Bauchumfang des Hundes auf. Die Haut des Unterbauches scheint auch eher dünn, und das Fell ist schütter. Beim Abtasten des Bauches ist spürbar, dass die Leber stark vergrössert ist. Eine erste Blutuntersuchung nährt den Verdacht, dass der Hund an einer Nebennieren-Überfunktion (Cushing-Syndrom) leiden könnte - die Leberwerte sind in einem typischen Muster erhöht.

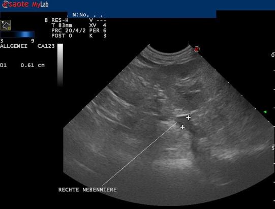
Zur Diagnosesicherung wird ein sogenannter ACTH-Stimulationstest durchgeführt. Hierbei wird der Cortisolwert im Blut vor und nach einer Injektion mit einem Hormon (ACTH), welches die Nebennieren zur Cortisolproduktion anregt, gemessen. Bei Luca steigt der Cortisolwert nach der Injektion extrem an und bestätigt dadurch den Verdacht einer Nebennieren-Überfunktion. Ein weiterer Bluttest sowie ein Ultraschalluntersuch, bei welchem eine vergrösserte linke Nebennieren gefunden wird, komplettieren die Diagnose eines adrenalen (nebennierenbedingten) Cushing-Syndromes.


Luca leidet an einem adrenalen (nebennierenbedingten) Cushings-Syndrom. Bei dieser Variante verursacht ein Tumor in einer Nebenniere eine unkontrollierte Cortisol-Produktion mit den entsprechenden Symptomen. Die aggressivste Therapie für diesen Typ Cushing's würde vorsehen, dass die betroffene linke Nebenniere chirurgisch entfernt würde. Aufgrund des Alters des Hundes, dem Schweregrad des Eingriffes sowie dem unglücklichen Umstand, dass sich Luca kurze Zeit später auch noch das vordere Kreuzband des linken Knies reisst, entscheidet sich die Besitzerin gegen eine Chirurgie.
Stattdessen erhält der Hund ein Medikament, welches die Cortisolproduktion unterdrückt. Über längere Zeit und mittels repetierten ACTH-Stimulationstesten wird die Dosis des Medikamentes langsam nach oben angepasst. Schon kurz nach Beginn der Therapie trinkt Luca wieder normale Mengen und die Veränderungen der Haut und des Bauches bilden sich langsam zurück. Durch das geringe Gewicht geht auch die Lahmheit aufgrund des unbehandelten Kreuzbandrisses stark zurück und bewegt sich auf einem akzeptablen Niveau. Es ist allerdings zu erwarten, dass der Nebennierentumor langsam wächst und dadurch früher oder später zu weiteren Problemen führen wird.
Wir erinnern an dieser Stelle an einen Fall aus unserer Praxis, bei welchem die Nebennieren eines Hundes zuwenig Hormone produzierten (http://www.lyssbachvet.ch/patienten/fallberichte/nr-11-januar-2009-nebennierenunterfunktion.html ). Der bei Luca verwendete ACTH-Stimulationstest zur Diagnosesicherung einer Nebennieren-Überfunktion (Cushing's) wurde damals zum Beweis einer Nebennieren-Unterfunktion (Addison's) eingesetzt. Hunde mit Cushing's-Syndrom weisen im Gegensatz zu Addison's-Patienten ein gutes Allgemeinbefinden auf, weshalb sich viele Besitzer gegen die relativ kostenintensive Therapie einer Nebennierenüberfunktion entscheiden.
Zu einer Nebennierenüberfunktion kann es einerseits kommen, wenn sich in einer Nebenniere ein hormonproduzierender Tumor entwickelt (adrenaler Cushing's, ca 15% der Fälle). Typisch ist bei diesen Hunden, dass eine Nebenniere deutlich vergrössert und die andere Nebenniere eher klein ist. Etwa die Hälfte dieser Nebennierentumoren bilden Ableger (Metastasen). In ca 85% der Hunde mit Nebennierenüberfunktion entwickelt sich ein Tumor in der Hirnanhangsdrüse, welcher eine Vergrösserung beider Nebennieren gleichzeitig bewirkt (hypophysärer Cushing's). Zur Differenzierung der beiden Formen kann neben einer Blutuntersuchung auch ein Bauchultraschall oder idealerweise eine Hirnuntersuchung mittels Computertomographie oder Magnetresonanztomographie durchgeführt werden.
Die radikalste Form der Therapie eines adrenalen Cushing's ist die Entfernung der betroffenen Nebenniere; diejenige eines hypophysären Cushing's die Bestrahlung der Hirnanhangsdrüse oder sogar der Versuch einer chirurgischen Entfernung der Hypophyse. Diese radikalen Formen der Therapie sind einerseits sehr kostenintensiv und andererseits nicht sehr effektiv: Nach Bestrahlung der Hirnanhangsdrüse resultiert (je nach Studie) eine mittlere Überlebensdauer von 1-3 Jahren, wobei die Symptome des Cushing's (Wasserkonsum) lange andauern (http://www.ncbi.nlm.nih.gov/pmc/articles/PMC1800960/ ). Bei der Entfernung einer Nebenniere sterben laut einer Studie aus dem Jahr 2008 knapp 1/4 der Hunde bis zur Entlassung aus dem Spital, wobei die überlebenden Tiere danach eine lange Lebensdauer aufweisen (http://www.ncbi.nlm.nih.gov/pubmed/18167113 ). Eine andere, ältere Studie dokumentierte ebenfalls, dass ca 1/4 der Hunde bei oder nach der Operation verstarben; ausserdem kehrten die Symptome bei ca 1/3 der überlebenden Hunde zurück (http://www.ncbi.nlm.nih.gov/pubmed/8525598 ).
Unter obigen Umständen und der zusätzlichen Erschwernis, dass Luca auch noch ein Kreuzbandriss erlitt (welcher idealerweise chirurgisch anzugehen ist), ist der Entscheid der Besitzerin, auf eine Operation zu verzichten, verständlich. Die beiden Kreuzbandrisse können übrigens durchaus eine Folge der Überflutung des Körpers mit Cortisol aus dem Nebennierentumor darstellen. Bei der konservativen Therapie wird ein Medikament eingesetzt, welches die Cortisolproduktion in den Nebennieren hemmt. Die Gefahr besteht hierbei in einer Überdosis, welche eine gefürchtete Addison's-Krise provozieren kann. Aus diesem Grund wird die Dosis des Medikamentes vorsichtig unter wiederholten ACTH-Stimulationstesten nach oben angepasst.
© Dr. med. vet. P. Müller / Lyssbachvet