Manolo wird uns eigentlich zur Impfung vorgestellt. Allerdings berichtet die Besitzerin, dass der Kater seit kurzem nicht mehr so lebendig wirke - er scheine phasenweise apathisch, habe einen verminderten Appetit und trinke eher viel. Ausserdem zeigte er zu Hause mit 39.8° eine erhöhte Körpertemperatur.

Beim Untersuch in der Praxis beträgt die Körpertemperatur 40.2° C (normal 38.0-39.0). Die Katze wirkt apathisch, das Abtasten des Bauches erscheint unangenehm; die linke Niere erscheint gross und die rechte eher klein. Eine Blutentnahme zeigt erhöhte Nierenwerte, erhöhte Entzündungseiweisse und erhöhte Entzündungszellen.
Aufgrund dieser Befunde wird am nächsten Tag eine erweiterte Abklärung vorgenommen:
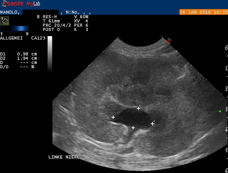
Der Bauch von Manolo wird mittels Ultraschall untersucht: Die rechte Niere erscheint klein und weist eine veränderte Architektur auf. Die linke Niere ist deutlich vergrössert; das Nierenbecken ist erweitert, und auch der ableitende Harnleiter ist deutlich erweitert. Im Nierenbecken findet sich ein kleiner Nierenstein von ca 4x2x2 mm Grösse. Mittels steriler Punktion wird Urin aus der Harnblase entnommen - im Urin befinden sich grosse Mengen rote und weisse Blutkörperchen sowie Baktieren, auch ist der Harn wenig konzentriert.
Die Erweiterung des Beckens und des Harnleiters (Ureter) der linken Niere weisen auf eine Blockade des Harnleiters hin, welcher den Urin von der Niere in die Blase transportieren sollte. Durch die Blockade wird Urin gestaut und das Nierenbecken und der vor der Blockade liegende Teil des Ureters quasi "aufgeblasen". Die Folge ist eine Funktionsstörung der Niere, wodurch sich die Nierenwerte im Blut erhöhen. Die beobachteten Veränderungen der rechten Niere könnten darauf hinweisen, dass auch dieses Organ in der Vergangenheit eine ähnliche Schädigung erlitten hat - dadurch, dass die linke (damals gesunde) Niere noch normal funktionierte, wurde diese Schädigung möglicherweise nicht bemerkt.
Die roten und weissen Blutkörperchen sowie die Bakterien im Urin weisen ausserdem auf einen Harnwegsinfekt hin. Falls es sich dabei um einen Nierenbeckeninfekt handeln sollte, könnte dies auch die erhöhte Körpertemperatur erklären.
Die Blockade des Harnleiters droht, die linke Niere unwiderruflich zu schädigen, was zu einem chronischen Nierenversagen und im schlimmsten Fall zum Tod des Tieres führen könnte. Die Besitzerin entscheidet sich, die Katze am Tierspital Bern mittels eines chirurgischen Eingriffes behandeln zu lassen: dem Setzen eines SUB (subcutaner ureteraler Bypass).


Im Zuge der weiterführenden Abklärungen am Tierspital werden die im Urin vorhandenen Bakterien identifiziert und mit einem geeigneten Antibiotikum bekämpft. Ausserdem findet sich als Zufallsbefund eine Herzmuskelerkrankung, welche allerdings keine Symptome zu verursachen scheint - so wird beschlossen, die Operation zu wagen:
Unter Fluoroskopie-Führung (Durchleuchtung mittels Röntgenstrahlen) wird das SUB-System eingepflanzt: Wie eine Umfahrungsstrasse umgeht der SUB die blockierte Stelle im Harnleiter - das eine Ende wird im Nierenbecken eingesetzt, das andere in der Harnblase. In der Mitte dieses künstlichen Harnleiters befindet sich ein Zwischenstück, welches unter der Haut angenäht ist - via diesem "Port" kann das System von aussen her gespült und damit sichergestellt werden, dass der Harn über den künstlichen Harnleiter wie vorgesehen in die Blase abgeführt wird.
Manolo erholt sich gut von der Operation und kann nach einer Woche wieder nach Hause. Eine Woche später ist er beim Kontrolltermin am Tierspital munter und zeigt guten Appetit, das Fieber ist verschwunden und die OP-Wunde gut verheilt.


Das eingesetzte System sollte alle 3 Monate gespült werden, um das einwandfreie Funktionieren zu gewährleisten. Beim Besuch am Tierspital 2 Monate nach der Operation geht es Manolo sehr gut, die Nierenwerte sind beinahe normal, und die Spülung des SUB ist dank der Kooperation der Katze sogar ohne Narkose möglich. Der Urin enthält keine Bakterien mehr.
Es ist geplant, in weiteren drei Monaten am Tierspital den SUB routinemässig zu spülen sowie den Herzmuskel zu kontrollieren um zu eruieren, ob und wie schnell die entdeckte Herzmuskelerkrankung fortschreitet.
Harnleiterblockaden sind bei Katze nicht allzu selten. In vielen Fällen ist ein kleiner Nierenstein, welcher aus dem Nierenbecken abgegangen und im Harnleiter stecken geblieben ist, die Ursache des Problems. Bei Manolo wurde allerdings kein solcher Stein gefunden (obwohl im Ultraschall ein kleiner Nierenbeckenstein entdeckt wurde) - offenbar bewirkte eine möglicherweise infektionsbedingte Schwellung des Harnleiters die Blockade.
In manchen Fällen präsentiert sich das Problem als "big kidney/little kidney"-Problem: Die eine, kürzlich beschädigte Niere ist stark vergrössert, die andere, früher vom selben Problem betroffenen Niere infolge einer Narbenbildung verkleinert.
Wie die Humanmedizin ist auch die Tiermedizin heute weit fortgeschritten: Das Problem der Harnleitersteine wurde in der Vergangenheit mittels Laser-Lithotripsie (hierbei wird ein Katheter via Harnröhre und Blase in die Harnleiter vorgeschoben und der blockierende Stein mittels Laser zertrümmert) und Harnleiter-Stents (ein Röhrchen, welches endoskopisch in den Harnleiter eingeführt wird und diesen erweitert, damit Urin abfliessen kann) angegangen. Offenbar sind die Nebenwirkungen dieser Methode aber nicht zu unterschätzen, weshalb heute v.A. das SUB-System zur Anwendung kommt. Wenn auch der Eingriff für die Katze und die Besitzerin eine grosse Belastung dargestellt hat, gibt der Erfolg dem Entscheid zur Operation recht - Manolo kann heute wieder ein normales, unbelastetes Leben führen.
© Dr. med. vet. P. Müller / Lyssbachvet

