Die Besitzerin zweier junger Meerschweinchen hat entdeckt, dass das eine Tier am Hinterteil beinahe keine Haare mehr aufweist. Vor einigen Monaten hat sie die beiden Brüder (Chip und Chap) aus dem Tierheim übernommen, wo die Tiere aufgrund einer Beschlagnahmung aufgenommen worden waren.

Das Hinterteil und die Flanken des Meerschweinchens sind flächig haarlos und weisen diverse oberflächliche Wunden auf. Die umliegenden Haare lassen sich büschelweise ausziehen, die Haut ist stellenweise bedeckt mit einer borkigen Kruste. Das Tier zeigt einen deutlichen Juckreiz; der restliche Untersuch ist unauffällig. Das zweite mitgebrachte Meerschweinchen zeigt ein deutlich besseres Hautbild; allerdings ist auch hier eine kleine, haarlose, krustige Region zu finden.
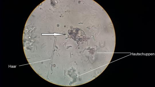
Die Befunden sprechen sehr stark für den Befall mit Grabmilben (Trixacarus Caviae): Die in der Haut Tunnel grabenden Parasiten verursachen einen starken Juckreiz mit Haarausfall. Zur definitiven Diagnose wird ein Hautgeschabsel angefertigt: Tatsächlich lässt sich im Mikroskop eine lebende Milbe nachweisen.

Beiden Tieren wird drei Mal im Wochentakt ein Antiparasitikum injiziert. Zur Verlängerung der Therapie erhalten die Tiere danach noch im Abstand von jeweils einem Monat eine Pipette mit einem Antiparasitikum auf die Haut aufgetropft. Die Besitzerin wird angewiesen, organisches Material (Einstreu, Holz etc) im Gehege auszuwechseln um eine mögliche Reinfektion mit dem Parasit unwahrscheinlicher zu machen.
Schon bei der dritten Injektion des Medikamentes hat sich der Juckreiz und das Hautbild verbessert; die komplette Heilung der Haut wird aber noch eine Weile in Anspruch nehmen.

Ein Befall mit Hautparasiten ist ein häufiges Problem bei Meerschweinchen. Insbesondere durch Hinzunahme von Tieren aus anderen Beständen können die Schädlinge eingeschleppt werden - je nach Befallsgrad und Parasitentyp kann der Befall lange unbemerkt bleiben (stille Infestation, insbesondere bei intaktem Immunsystem). Gewisse Schädlinge sind vergleichsweise harmlos und lassen sich gut bekämpfen (zB die mit der Lupenbrille gut sichtbaren Haarlinge), andere (wie die hier beobachteten Grabmilben) können schwere Symptome (epilepsiähnliche Anfälle aufgrund des Juckreizes, schwere Hautwunden durch Selbstschädigung, verminderte Futteraufnahme) nach sich ziehen.
Neben der Therapie aller Tiere des Bestandes (gegenseitige Ansteckungsgefahr) sollte idealerweise auch die Umgebung behandelt werden um Neuinfekte zu verhindern. Bei Freilandhaltung ist dies aber häufig nicht möglich; Reinfektionen sind erfahrungsgemäss glücklicherweise nicht sehr häufig, da die Grabmilben ausserhalb des Wirtes nur kurzzeitig überleben.
Auch der Mensch kann sich mit den Räudemilben anstecken, was zu einem vorübergehenden Juckreiz und Ausschlag führt; allerdings sterben die Parasiten in der menschlichen Haut von selbst ab.
© Dr. med. vet. P. Müller / Lyssbachvet