Lilly kommt aus einer deutschen Zucht zur neuen Besitzerin. Von Anfang an wird darauf hingewiesen, dass das Tier eine Geburtsgebrechen habe, welches schon abgeklärt worden sei: Eine Angiomatose am linken Vorderbein. Die neue Besitzerin legt uns den Befund einer Gewebeuntersuchung vor, welcher damals beim Welpen gemacht worden war - aufgrund dieser Hautbiopsie wurde die Diagnose der Gefässveränderung gestellt. Anlässlich der Kastration sehen wir die Hündin das erste Mal.

Lilly ist bei gutem Allgemeinbefinden und läuft lahmheitsfrei. Die vierte und fünfte Zehe der linken Vorderpfote sind verdickt und stark gerötet. Auch die Haut des Mittelfusses und z.T. des linken Unterarmes weisen fleckenartige Rötungen auf, welche leicht erhaben sind. Unter Stress verfärben sich die Flecken wegen der verstärkten Durchblutung dunkelrot. Laut Besitzerin haben sie sich seit der Übernahme des Hundes aber nicht oder kaum vergrössert.
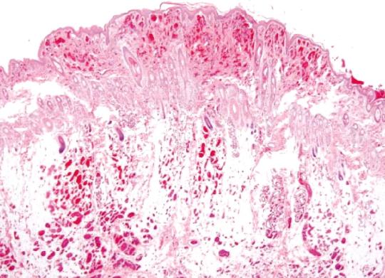
Anlässlich der Kastration werden in derselben Narkose mehrere Hautproben entnommen. Das Labor wird angewiesen, neben der normalen Untersuchung auch Spezialfärbungen zum Auffinden von speziellen Bakterien durchzuführen. Zur Diskussion der Resultate wird ein Dermatologe beigezogen.



Nach 10 Tagen werden die Fäden gezogen und die Untersuche besprochen: Das Labor bestätigt den Befund einer Angiomatose; es werden keine Bakterien aufgefunden. Da die Veränderungen gegenwärtig nicht zuzunehmen scheinen und der Hund symptomfrei ist, wird vorderhand abgewartet und keine Therapie eingeleitet.

Angiomatose ist ein Sammelbegriff für verschiedene, auf einer Vermehrung von Blutgefässgewebe basierenden Hautveränderungen. Die bei Hund und Katzen sehr selten auftretenden Veränderungen sind am häufigsten an den Beinen von jungen Tieren anzutreffen und können sich lokal infiltrativ ("einwachsend") verhalten und auch den unterliegenden Knochen schädigen. Es wird angenommen, dass es sich hierbei um eine Missbildung von Hautgefässen handelt, welche möglicherweise einen genetischen Hintergrund hat. Häufig breiten sich die Veränderungen mit der Zeit aus; die Therapie ist (falls möglich) eine chirurgische Entfernung. Es sind Fälle beschrieben, bei welchen im veränderten Gewebe spezielle Bakterien (Bartonella) gefunden wurden, welche möglicherweise die Ursache des Problem darstellen. Eine Spezialfärbung der Gewebeproben von Lilly zeigte allerdings keine Bartonellen.
Als Alternativen zur chirurgischen Therapie werden in der Literatur Behandlungen mit Laser oder Photodynamik (Behandlung des Gewebes mittels Lichts einer spezifischen Frequenz nach Applikation eines Präparats, welches das Gewebe lichtempfindlicher macht) beschrieben. Auch medikamentelle Versuche sind beschrieben - allgemein ist zu sagen, dass über die Krankheit an sich und die möglichen Therapieformen heute nur sehr wenig bekannt ist. Es ist zu hoffen, dass sich die Hautveränderungen bei Lilly nicht ausbreiten, sondern wie bis anhin ruhig verhalten.
© Dr. med. vet. P. Müller / Lyssbachvet