Anlässlich der Untersuchung bei einem Impftermin wird ein Knoten von etwa 2 cm Grösse in der Bauchhöhle ertastet. Der Katze geht es sehr gut, der restliche Untersuch erscheint unauffällig. Da die Möglichkeit besteht, dass es sich um einen Lymphknoten handelt, welcher durch eine Aktivierung des Abwehrsystems vergrössert ist, wird initial auf eine Abklärung verzichtet. Da der Knoten bei einem Kontrolltermin 4 Wochen später aber immer noch vorhanden ist und eher grösser geworden ist, wird eine weitere Abklärung durchgeführt.

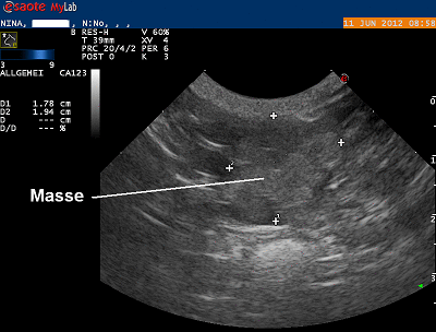
Die Bauchhöhle wird mittels Ultraschall genauer untersucht. Der Knoten erweist sich als unregelmässig begrenzt und von homogener Echotextur. Es ist nicht mit Sicherheit zu klären, ob es sich um einen vergrösserten Lymphknoten oder möglicherweise eine Masse in einer Darmwand handelt. Mit einer feinen Kanüle wird eine Probe zur zytologischen Untersuchung entnommen. Das Pathologielabor diagnostiziert in der Zellprobe einen bösartigen Tumor, welcher aber nicht genauer definiert werden kann.
Da es sich beim Knoten nicht um ein Lymphosarkom handelt (ein Tumor, bei dem eine chirurgische Intervention wenig Sinn machen würde), wird entschieden, die Bauchhöhle chirurgisch zu eröffnen um entweder ein Gewebestück zur genauen Diagnose zu entnehmen oder aber (sofern möglich) den Tumor zu entfernen.

Um auszuschliessen, dass die vermutete Krebsgeschwulst Ableger in die Lungen gestreut hat, werden Lungenröntgen angefertigt. Glücklicherweise sind keine Lungenmetastasen sichtbar.


Unter Narkose wird die Bauchhöhle eröffnet. Der ertastete Knoten entpuppt sich als Masse, welche in der Wand des Dünndarmes integriert ist. Der Knoten wird mitsamt etwa 5 cm Darm entfernt und die beiden Dünndarmenden wieder miteinander vernäht. Ebenfalls vernäht wird die entstandene Lücke im Gekröse. Die Naht wird zur verbesserten Wundheilung mit dem grossen Netz, einem vorhangartigen, feinen Gewebe in der Bauchhöhle, bedeckt. Die Bauchwand wird routinemässig verschlossen. Auf eine Biopsieentnahme am leicht vergrösserten Lymphknoten wird verzichtet.
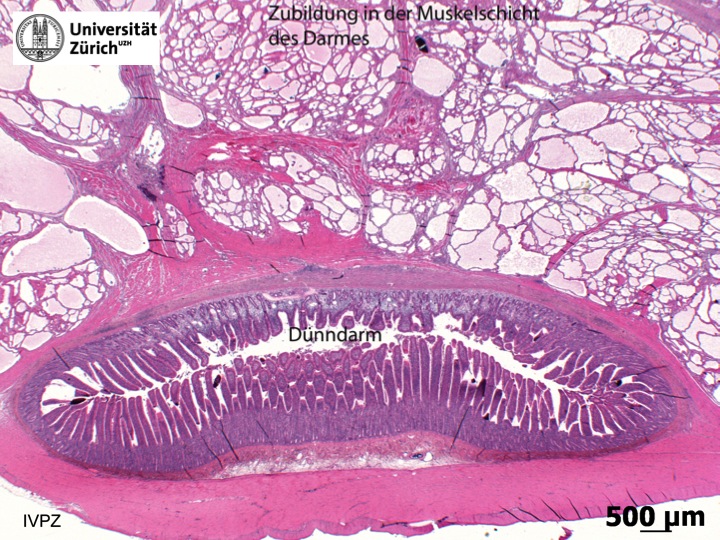
Die Katze erholt sich gut von der schweren Operation. Die Gewebeuntersuchung des entfernten Darmstückes ergibt einen gutartigen Geschwulst in der Muskelschicht des Darmes (siehe unten).


"Nina" hatte das Glück, dass der Geschwulst anlässlich einer Routinekonsultation in einem frühen Stadium bemerkt wurde und so verhindert werden konnte, dass der wachsende Knoten durch Einengung des Darmrohres Probleme wie Erbrechen und Durchfall bewirkte.
Geschwulste in der Bauchhöhle sind bei Katzen und Hunden keine Seltenheit. Der häufigste Tumor ist bei beiden Spezies wohl das maligne Lymphom - eine Krebsart, welche von Abwehrzellen ausgeht und sowohl im Darm als auch in Lymphknoten sowie in allen anderen Organen der Bauchhöhle vorkommen kann.
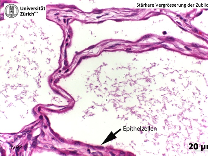
Andere Darmgeschwulste sind bei Katzen eher selten: Zellen der Darmschleimhaut sowie der Muskelschicht des Darmes können entarten und entsprechende Tumoren bilden. Beim bei Nina gefundenen Knoten handelt es sich um ein sogenanntes Hamartom: Dieser Geschwulsttyp entsteht aus Zellen, die beim Tier noch vor der Geburt an "falschen" Stellen im Körper deponiert werden und im späteren Leben entarten. Interessanterweise war die genauere Bestimmung des Geschwulsttypes auch für die Experten am Pathologischen Institut des Tierspitals Zürich sowohl unter Zuhilfenahme von normaler Mikroskopie als auch unter Anwendung von Immunhistochemie nicht komplett möglich. Bei letzterer Methode werden gewisse Zellbestandteile durch spezielle Farbstoffe markiert, was die Unterscheidung von sehr ähnlich aussehenden Gewebetypen zulässt. Als mögliche Alternative zu einem Hamartom wurde denn im Bericht der Pathologen auch ein Adenom, ein gutartiger Tumor der Darmschleimhaut, angegeben. So oder so bedeutet der gutartige Charakter des Geschwulst, dass bei Nina nicht mit Tumor-Ablegern gerechnet werden muss.
Wir danken Frau Dr. P. Grest und Frau Dr. M. Croci vom Veterinärpathologischen Institut der Universität Zürich herzlich für ihre Hilfe und das Überlassen der untenstehenden mikroskopischen Bilder der Darmmasse.
© Dr. med. vet. P. Müller / Lyssbachvet

