Sina wird uns vorgestellt, weil die Besitzerin bemerkt hat, dass sich die Katze vermehrt mit den Pfoten am Kopf reibt. Sie schüttelt auch vermehrt den Kopf. Ansonsten geht es dem Tier sehr gut.

Beim Untersuch wird festgestellt, dass beide Gehörgänge leicht entzündet sind. Auch stellt sich heraus, dass ein Zahn angefault ist und das Zahnfleisch in dieser Region gerötet ist - beide Probleme können zweifellos zum beobachteten Verhalten führen. Ausserdem wird beim Abhorchen der Brust bemerkt, dass das Herz beim Pumpen ein Geräusch produziert - dies ist im Gegensatz zu den normalen Herztönen jedoch nicht normal. Da zur Sanierung der Zähne eine Narkose nötig wird, beschliessen wir, die Katze vorgängig eingehender bezüglich des Herzens zu untersuchen - schliesslich kann eine Herzkrankheit ein stark erhöhtes Narkoserisiko bewirken.
Zur genaueren Abklärung der Ursache für das Herzgeräusch werden Bruströntgen angefertigt und ein Herzultraschall durchgeführt.
Das Bruströntgen zeigt eine normale Herzsilhouette und ein normales Lungenfeld. Insbesondere sind keine Hinweise für die häufigste Katzen-Herzkrankheit (die hypertrophe Kardiomyopathie HCM) wie vergrösserte Herzvorhöfe zu finden.

Im Herzultraschall ist dann der wahrscheinliche Grund für das Herzgeräusch zu erkennen. Zur Erklärung ist hier aber ein kleiner Exkurs in die Anatomie notwendig:
Der Blutfluss im Herz wird in der ersten Grafik dargestellt: Sauerstoffarmes Blut fliesst aus dem Körper durch Venen in den rechten Herzvorhof. Es wird durch die Trikuspidal-Segelklappen (welche bei der Pumpaktion des Herzen einen Blutrückfluss aus der Kammer in den Vorhof verhindern) in die rechte Herzkammer gepumpt und gelangt von dort in die Lunge, wo Sauerstoff aufgenommen und Kohlendioxid abgegeben wird. Das sauerstoffreiche Blut gelangt in den linken Herzvorhof und wird durch die Mitral-Segelklappen (welche den Blutrückfluss von der linken Kammer in den linken Vorhof verhindern) in die linke Herzkammer gepumpt. Von dort wird das Blut durch die Aortenklappen in die Körperschlagader (Aorta) und weiter in den restlichen Körper gepumpt.
Die beiden Klappen (Mitral-Segelklappen), welche den linken Vorhof von der linken Herzkammer trennen und beim Pumpen des Herzens den Rückfluss von Blut aus der Kammer in den Vorhof verhindern, werden von sogenannten Chordae Tendineae wie Segel von Seilen zurückgehalten. Dadurch können die Klappen beim Spannen während der Pumpaktion zurückgehalten werden, "blähen" sich sozusagen auf und dichten so die Öffnung zwischen Vorhof und Herzkammer ab (Grafik 2). Die zur Funktion der Klappen wichtigen Chordae Tendineae sind über die sogenannten Papillarmuskeln in der Herzmuskelwand verankert. Die rechte Herzkammer weist 3, die linke Kammer 2 solche Papillarmuskeln auf. Die 2 linksseitigen Papillarmuskeln entspringen beide der parietalen ("freien") Herzwand; die Herzscheidewand (Septum), welche die beiden Herzkammern voneinander trennt, trägt bei der Katze keinen solchen Papillarmuskel (in der Grafik rot markiert).


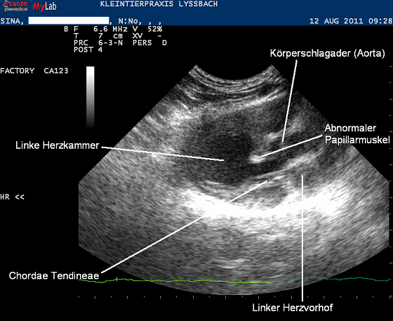
Im Herzultraschall wird schlussendlich ersichtlich, was bei der Katze das beobachtete Herzgeräusch verursacht:
Offenbar weist das Herz von Sina eine Missbildung auf. Während in einem normalen Herzen (wie oben beschrieben) das Herzseptum in der linken Kammer keinen Papillarmuskel trägt, entspringt bei Sina einer der beiden Muskeln der Herzscheidewand, währenddem der andere normal ausgebildet wird (in der Grafik rot eingezeichnet). Zwar scheint der Verschluss der Mitral-Segelklappen trotzdem normal zu funktionieren, jedenfalls ist während der Pumpaktion des Herzens kein Blutrückfluss in den Vorhof zu beobachten. Die abnormal verlaufenden Chordae Tendineae und der abnormal ausgebildete Papillarmuskel ragen aber in die Kammerregion hinein, durch welche das Blut in die Körperschlagader (Aorta) gepumpt wird.
Glücklicherweise scheint dies für das Herz vorerst keinen grossen Nachteil darzustellen: Die Abmessungen von Herzmuskel und Kammerdurchmessern erscheinen normal, offenbar hat das Herz bis jetzt nicht negativ auf die abnormale Anatomie reagiert.
Es wird deshalb beschlossen, die Narkose zum Ziehen des Zahnes zu wagen.


Die Narkose verläuft problemlos.
Da die Besitzer Schwierigkeiten haben, der Katze Medikamente zu verabreichen, wird auf eine prophylaktische Verabreichung eines Medikamentes verzichtet, welches möglicherweise die Bildung von Herzveränderungen aufgrund der Missbildung verzögern könnte. Ausserdem ist die Katze auch schon 6 Jahre alt und hat in dieser Zeit offenbar keine sekundäre Herzmuskelveränderungen ausgebildet, weshalb gehofft werden kann, dass die Missbildung wenig bis keine negativen Auswirkungen auf das Herz hat.
Herzmissbildungen werden beim Kleintier hin und wieder angetroffen. Neben Verengungen von Klappen können auch undichte Klappen, Kammerwanddefekte oder fehlerhaft ausgebildete grosse Gefässe (Aorta und Pulmonalarterie) und andere Defekte vorkommen. Die bei "Sina" angetroffene Veränderung kann unter dem Begriff Mitraldysplasie eingeordnet werden. Hierbei ist das Segelklappensystem der linken Herzseite fehlerhaft ausgebildet - fehlerhafte Klappen, fehlerhaft ausgebildete Chordae Tendineae oder Papillarmuskeln kommen hierbei in Frage. Als Folge kann eine Mitralinsuffizienz (ungenügender Verschluss der Klappen während der Pumpaktion des Herzens) auftreten, welche zu sekundären Herzveränderungen und verminderter Pumpleistung führen kann.
Glücklicherweise scheinen sich solche Sekundärveränderungen bei "Sina" bis heute nicht eingestellt zu haben. Da kein Blutrückfluss in den linken Vorhof und keine Vorhoferweiterung festgestellt werden konnte, ist anzunehmen, dass das gehörte Geräusch durch die Positionierung des abnormalen Papillarmuskels im Ausflusstrakt der Aorta zustande kommt.
© Dr. med. vet. P. Müller / Lyssbachvet