Den Besitzern ist aufgefallen, dass „Acumba“ im Verlauf der letzten paar Stunden zunehmend unruhig geworden ist und mehrmals versucht hat, zu erbrechen – allerdings ohne Erfolg. Ansonsten geht es dem Hund nicht schlecht.
Der Hund erscheint recht munter, allerdings schlägt sein Herz deutlich schneller als normal. Der Bauch ist voluminöser als gewohnt und weist im vorderen Bereich eine gasig-elastische Konsistenz auf.
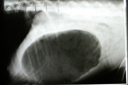
Alle Vorzeichen deuten auf eine Magendrehung hin. Als Sofortmassnahme wird deshalb zur Kreislaufstützung eine intravenöse Infusion in Schockdosis verabreicht. Währenddessen wird zur Diagnosesicherung in Seitenlage eine Röntgenaufnahme des Bauches angefertigt. Diese zeigt das klassische „Zipfelmützenbild“ eines aufgegasten und teilweise rotierten Magens.

Eine Magendrehung ist ein Notfall, welcher unbehandelt tödlich verläuft. Als erstes wird bei „Acumba“ versucht, mittels einer Schlundsonde am wachen Tier eine Druckentlastung des Magens herbeizuführen. Durch die Rotation des Magens ist dies jedoch nicht möglich. Da der Hund noch in einem recht guten Allgemeinzustand ist, wird auf eine Druckentlastung mittels einer Kanüle, welche von aussen in den aufgegasten Magen gestochen wird, verzichtet.
Der Hund wird schonend narkotisiert und die Bauchhöhle nach den üblichen Vorbereitungen chirurgisch eröffnet. Da auch danach mit manueller Hilfe ein Einführen einer Schlundsonde in den Magen nicht möglich ist, wird der Magen aufgeschnitten und abgegast. Neben Gas enthält der Magen aber auch viel Flüssigkeit, Futterwürfel und Holzstückchen. Der Magen wird sorgfältig und geduldig mittels Saugpumpe und Löffel entleert, verschlossen, und in seine normale Position zurückrotiert. Der Magen und die stark gestaute Milz werden einige Minuten beobachtet; glücklicherweise scheinen die Organe trotz der verminderten Durchblutung keinen Schaden genommen zu haben. Vor dem Verschluss der Bauchhöhle wird nun noch eine sogenannte Gastropexie vorgenommen. Hierbei wird der Magenausgang an die rechte Bauchwand angenäht - so soll verhindert werden, dass sich der Magen in Zukunft erneut drehen könnte.
Die Aufwachphase verläuft problemlos, und der Hund zeigt postoperativ auch keine Herzrhythmusstörungen – eine gefürchtete Komplikation, die nach Magendrehungen häufig Probleme bereitet. Mit Schmerzmittel und Antibiotika wird der Hund nach Hause entlassen; 10 Tage später werden die Hautklammern entfernt – „Acumba“ hat sich von der Operation gut erholt.




Die Magendrehung ist ein gefürchteter Notfall bei grossen Hunden, kann aber selten auch bei kleineren Hunden oder gar Katzen auftreten. Unbehandelt führt sie durch die Aufgasung des Magens, welcher den Blutrückfluss zum Herzen vermindert, sowie durch Schädigung der Magenwand zum Tod des Tieres. Auch die Milz kann durch die Verlagerung des Magens beschädigt werden.
© Dr. med. vet. P. Müller / Lyssbachvet
