Im Laufe ihres Lebens hatte uns Madison schon einzelne Male wegen Magen-Darm-Beschwerden besucht - meist zeigte sie während der Episoden Durchfall, Erbrechen und verminderten Appetit, was sich aber unter medikamenteller Therapie jeweils schnell wieder legte.
Diesen Sommer wird uns Madison vorgestellt, weil sie keinen Appetit mehr hat. Wenn die Hündin frisst, dann nur nach gutem Zureden durch die Besitzer oder wenn das Futter an anderen Orten oder zu anderen Zeiten vorgesetzt wird. Erbrechen zeigt der Hund nicht, auch der Kot ist unauffällig, beim Kauen zeigt Madison keine Schmerzen.

Madison wird sorgfältig untersucht. Ausser dem Umstand, dass ein Schneidezahn im rechten Oberkiefer eine abgebrochene Krone aufweist und diese nur noch lose mit dem Zahnfleisch verbunden ist, ist der Untersuch komplett unauffällig. Mit etwas Lokalanästhesie wird als Provisorium der Kronenrest entfernt und ein Schmerzmittel abgegeben. Da das Zahnproblem nicht unbedingt das Verhalten von Madison erklärt, wird auch noch eine komplette Blutuntersuchung durchgeführt, welche unauffällig ausfällt.
3 Tage später sehen wir Madison wieder. Leider hat sich der Appetit nicht verbessert, Madison bleibt diesbezüglich sehr wählerisch, kaut aber das akzeptierte Trockenfutter problemlos. Sie hatte in den vergangenen Tagen einmalig Durchfall, ansonsten ist der Kot normal und der Hund hat nicht erbrochen.
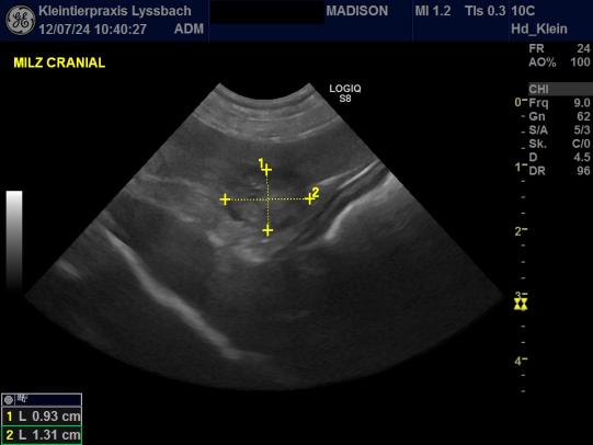
Obwohl zu erwarten ist, dass die Wurzel des abgebrochenen Schneidezahnes noch im Kiefer sitzt, ist die entsprechende Stelle im Maul optisch unauffällig am heilen, komplett schmerzfrei und scheint als Ursache für das Problem unwahrscheinlich. Nun wird eine zweite Etappe Diagnostik durchgeführt: Die angefertigten Bruströntgen des Hundes sind unauffällig; im Ultraschall der Bauchhöhle wird aber ersichtlich, dass die Milz einen Knoten von ca 10 x 13 Millimetern Durchmesser aufweist. Die Struktur des Knotens ist "löchrig" - ein Zeichen für bluthaltige kleine Kavernen, ein typisches Bild beim gefürchteten Hämangiosarkom. Dieser bösartige Tumor bildet sich aus Blutgefässen und ist insbesondere bei älteren grossrassigen Hunden in der Milz zu finden. Könnte dieser Knoten den reduzierten Appetit von Madison erklären? Leider ist es sehr schwierig und auch riskant, mittels Biopsierung herauszufinden, um was für Gewebe es sich beim Knoten handelt. Wir entschliessen uns, die Milz zu entfernen - eine relativ problemlose, kurze Operation; und ohne Milz kann der Hund gut leben. In derselben Narkose wird auch noch gleich der verbliebene Wurzelrest des Schneidezahnes entfernt.

Der Hund erholt sich problemlos von der Operation. Beim Fädenziehen berichten die Besitzer erfreut, dass der Hund nun gut fresse. Auch aus dem Labor kommen gute Nachrichten: Beim Knoten handelt es sich zwar um einen Tumor, aber um den "gutartigen Bruder" des Hämangiosarkoms - ein selten auftretendes Hämangiom. Wir sind erleichtert und denken, dass der Fall von Madison nun abgeschlossen ist.
Leider ist die Freude nur von kurzer Dauer. Eine Woche später wird uns Madison erneut vorgestellt - nun frisst der Hund wieder nicht mehr und zeigt vermehrtes Erbrechen, Grasfressen und Durchfall. Mit Medikamenten gegen Brechdurchfall, Tabletten zur Appetitstimulation und einem Wechsel auf ein Hypoallergenfutter geht es dem Hund nach einigen Tagen wieder besser - aber auch diese Verbesserung ist nur von kurzer Dauer, Madisons Appetit verschwindet wieder und auch der Brechdurchfall setzt wieder ein.
In einem längeren Gespräch wird nun das weitere Vorgehen erörtert. Sowohl Besitzer als auch Tierarzt sind ob dem stetigen Auf und Ab frustriert - die Besitzer sind aber weiterhin bereit, nach einer Lösung zu suchen und möchten nicht zur Zweitmeinung an einen Spezialisten überwiesen werden.
Nun werden noch einige weitere Blutuntersuchungen durchgeführt: Obwohl in der ersten Blutuntersuchung keine typischen Hinweise auf eine Nebennierenunterfunktion zu finden waren, wird ein entsprechender Test durchgeführt, welcher aber negativ ausfällt. Dann eine erste handfeste Diagnose: Madison weist einen zu tiefen Blutspiegel des Vitamins B12 auf; allerdings kann dies sowohl Ursache als auch Folge des Appetitmangels und der Magen-Darm-Beschwerden sein. So oder so wird eine Supplementierung mit dem Vitamin gestartet.
Noch vor Eintreffen der gesamten Blutresultate wird eine Spiegelung des Magens und des oberen Dünndarmes durchgeführt - in der Zwischenzeit scheinen die Magen-Darm-Beschwerden neben dem unspezifischen Appetitverlust das zentrale Problem des Hundes zu sein.
Trotzdem Madison etwa 16 Stunden gefastet wurde, findet sich im Magen eine grosse Menge Gras, Futterreste sowie ein grösserer, schwarzer Fremdkörper. Die Magenschleimhaut ist an mehreren Stellen etwas gerötet; auch im Dünndarm findet sich eine gerötete Stelle. Nachdem aus Dünndarm und Magen kleine Gewebeproben entnommen wurden, wird der Fremdkörper nach einigen erfolglosen Greifversuchen mit einem sogenannten Fangkorb aus dem Magen entfernt - es handelt sich um ein flaches Stück Holz von wohl 2 cm Durchmesser.




Die Gewebeproben liefern Hinweise auf zwei weitere Krankheitsprozesse bei Madison: Einerseits weist sie eine chronische, leichte Magenschleimhautentzündung und einen Befall mit dem Bakterium Helicobacter Pylori auf. Anderseits finden sich im Dünndarm ebenfalls Hinweise auf ein entzündliches Problem. Neben einem Vitamin-B12-Mangel leidet der Hund also an einer Helicobacteriose mit begleitender Gastritis sowie einer sogenannten IBD (Inflammatory Bowel Disease).
Madison erhält neben dem Diätfutter und den Vitamin-B12-Kapseln nun auch Medikamente gegen den Helicobacter-Befall sowie Cortison zur Bekämpfung der Darmentzündung. Schon kurze Zeit später berichten die Besitzer, dass der Hund einen sehr guten Appetit aufweist und der Kot eine gute Konsistenz hat. Auch ein Monat später zum Zeitpunkt der Veröffentlichung dieses Artikels ist der Appetit des Hundes stabil und Madison weist keine Magen-Darm-Symptome mehr auf, obwohl das Cortison auf ein Minimum reduziert worden ist. Der Vitamin-B12-Spiegel liegt wieder im Normalbereich.

In der Veterinärmedizin werden die Fälle nach dem sogenannten Problem-orientierten Verfahren angegangen. Das Tier wird uns aus einem bestimmten Grund vorgestellt (bei Madison war dies primär der Appetitverlust, später zusätzlich die Magen-Darm-Beschwerden). Zusammen mit den Informationen durch die Besitzer (sogenannte Anamnese) und den Befunden bei der körperlichen Untersuchung erstellt der/die Tierarzt/ärztin im Geiste eine Problemliste sowie eine Differentialdiagnoseliste (welche Krankheiten könnten für das zentrale Problem die Ursache sein?). Falls nötig, werden zum Erreichen einer Diagnose weitere Untersuchungen durchgeführt mit dem Ziel, die Ursache des Problems zu finden um dieses zielgerichtet bekämpfen zu können.
In gewissen Fällen ist dieser Prozess recht simpel und zielstrebig (z.B.: ein 3-jähriger Labradorrüde belastet plötzlich das linke Hinterbein nicht mehr, beim Untersuch ist eine Schubladeninstabilität des Knies festzustellen, der Hund erhält die Diagnose "Riss des vorderen Kreuzbandes im linken Knie" sowie vorerst ein Schmerzmittel und muss operiert werden). In gewissen Fällen ist der Prozess schwierig und aufwändig, insbesondere wenn das Hauptproblem diffuser Art ist (z.B. wie hier Appetitverlust, welcher zu Beginn nicht von parallelen Symptomen begleitet wurde) oder mehrere Probleme gleichzeitig vorhanden sind.
Häufig wird dieser Vorgang im Kopf des Tierarztes/der Tierärztin zwar durchgespielt, aber nicht zu Ende geführt, weil das Tier auf eine symptomatische Behandlung längerfristig anspricht.
Bei Madison war das Problem, dass sich die Symptomatik zu Beginn ausschliesslich auf den Appetitverlust beschränkte. Durch die anschliessend einsetzenden Magen-Darm-Probleme wurde der Fokus dann auf dieses Organsystem gerichtet und mit den entsprechenden Untersuchungen abgeklärt. Sehr hilfreich war im Fall von Madison, dass die Besitzer jederzeit bereit und in der Lage waren, weitere Untersuchungen durchführen zu lassen. Der Verlauf des Falles lässt darauf schliessen, dass die unterliegenden Magen-Darm-Probleme von Madison zum verminderten Appetit geführt haben.
1. Zahnfrakturen: Bei Hunden sind Zahnfrakturen recht häufig und sind meist auf das Kauen von harten Gegenständen zurückzuführen. In aller Regel bleibt bei einer Kronenfraktur die Wurzel des Zahnes im Kiefer zurück und sollte entfernt werden, da sie auf Dauer Schmerzen oder einen chronischen Infekt verursachen kann. Häufig zeigen betroffene Hunde aber wenig offensichtliche Schmerzen, weshalb das Problem unterschätzt wird - umständliches Kauen, aus-dem-Maul-Fallenlassen von Futter oder blutiger Speichel können aber vorhanden sein.
2. Tumoren in der Milz kommen hauptsächlich bei grossrassigen und älteren Hunden vor - gefürchtet ist hier v.A. das bösartige Hämagiosarkom, welches aufgrund von frühzeitig auftretenden Metastasen meist eine schlechte Prognose mit sich bringt. Die Schwierigkeit bei Milzgeschwulsten besteht darin, dass die Art des Gewebes schlecht bestimmt werden kann - die Blutungsgefahr bei einer Biopsieentnahme ist sehr gross, und die weniger heikle Feinnadelaspiration liefert häufig keine brauchbaren Ergebnisse. Klarheit über den Gewebetyp besteht erst nach Untersuchung der entfernten Milz - in Madison's Fall stellte sich die Geschwulst zum Glück als gutartig heraus und trug wahrscheinlich nicht zu den Symptomen bei.
3. Helicobacter Pylori ist ein spiralförmiges Bakterium, welches im sauren Magenmilieu überleben kann. Beim Menschen ist ein Befall mit einem erhöhten Risiko für Magengeschwüre und Magenkrebs verbunden. Beim Hund ist weniger klar, welche Probleme der Befall mit sich bringt, weil das Bakterium auch häufig im Magen von gesunden Hunden gefunden werden kann. Finden sich in den Gewebeproben des Magens Entzündungszeichen und weist der Hund Magen-Darm-Beschwerden auf, sollte der Infekt behandelt werden.
4. IBD (Inflammatory Bowel Disease) ist ein Sammelbegriff für entzündliche Probleme im Magen-Darm-Trakt und wird über eine Biopsierung diagnostiziert. Als Ursache werden Störungen im Immunsystem und der Bakterienzusammensetzung im Darm sowie genetische Faktoren vermutet. In aller Regel wird wie bei Madison als Erstes ein Wechsel auf ein spezielles Allergie-Diätfuttermittel vorgenommen. Reicht dieser Wechsel nicht aus, kann eine Therapie mit Cortison zum Abheilen der Entzündung beitragen.
5. Ein Mangel von Vitamin B12 kann sowohl Folge (durch verminderte Aufnahme aus der Nahrung) als auch Ursache für chronische Magen-Darm-Beschwerden darstellen. Früher wurde ein entsprechender Mangel mit einer wöchentlichen Injektion mit dem Vitamin therapiert, welche recht schmerzhaft sind. Neuere Erkenntnisse zeigen, dass auch eine orale Therapie erfolgreich ist, weshalb Madison entsprechend täglich Kapseln mit Vitamin B12 erhielt.
© Dr. med. vet. P. Müller / Lyssbachvet