Mia wird uns wegen Durchfall, Erbrechen, Appetitverlust und allgemein reduziertem Allgemeinbefinden vorgestellt. Gegenüber dem letzten Besuch vor zwei Monaten hat sie 100 Gramm Gewicht verloren - in diesem Alter sollte ein Junghund aber immer noch stetig Gewicht zunehmen. Der Allgemeinuntersuch liefert keine Hinweise auf die Ursache.

Mia erhält einen Venenkatheter und wird zur intravenösen Infusion hospitalisiert. Wir entnehmen ein Blut- und Urinprobe, und der Hund erhält Medikamente gegen das Erbrechen.
Die Laboruntersuchungen lassen uns stutzen, offenbar scheint es sich hier nicht um eine einfache "Magen-Darm-Grippe" zu handeln. Zwei Nierenwerte sind leicht erhöht, und die Elektrolyte Natrium und Kalium sind deutlich erniedrigt. Hat der Hund etwa aufgrund des Brechdurchfalls soviel Elektrolyte verloren, und weisen die erhöhten Nierenwerte tatsächlich auf eine Nierenproblematik hin, oder kommen sie durch eine Austrocknung des Patienten zustande? Die Urinuntersuchung zeigt, dass der Harn ein hohes spezifisches Gewicht aufweist (also konzentriert erscheint), wie es bei einer Austrocknung zu erwarten wäre. Gleichzeitig ist aber der Eiweiss- und Zuckergehalt sehr deutlich erhöht - was einerseits gänzlich abnormal ist, und andererseits das spezifische Gewicht stark beeinflussen kann. Ein erhöhter Eiweisswert im Urin kann z.B. durch Entzündungen im Harntrakt oder Schädigung der Nieren zustande kommen; erhöhte Zuckerwerte sehen wir aber praktisch ausschliesslich bei der Zuckerkrankheit Diabetes Mellitus - und Mia's Blutzuckerwerte sind völlig normal!
Langsam verdichten sich die Anzeichen, dass Mia an einer sehr seltenen Art einer Nierenerkrankung leiden könnte.


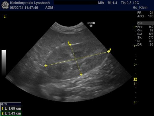
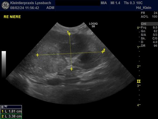
Zur genaueren Abklärung wird nun ein Bauchultraschall durchgeführt. Die Nieren erscheinen in Grösse und Form recht unauffällig, sie sind im Ultraschall aber etwas echogener ("heller") als üblich und der Übergang von Rinde zu Mark ist etwas verwischt. Diese Befunde sind nicht beweisend für ein Nierenproblem, weshalb wir eine weitere Urinprobe gekühlt und per Kurier in ein externes Labor zur weiteren Untersuchung einschicken.


Das externe Labor bestätigt schliesslich unsere Verdachtsdiagnose: Mia verliert über ihre Nieren grosse Mengen an Eiweiss (Protein-Kreatinin-Verhältnis), Zucker (Glucose) sowie eine ganze Reihe von Aminosäuren - den Bausteinen von Eiweissen. Mia leidet also an einem sogenannten Fanconi- respektive Fanconi-like-Syndrom.


Das Fanconi-Syndrom ist ein Krankheitsbild, bei dem eine Funktionsstörung der Nieren vorliegt. Im Normalfall bewirkt ein ausgeklügelter Mechanismus, dass für den Körper wichtige Stoffe (wie Eiweisse, Zucker, Elektrolyte und Aminosäuren) im Körper zurückbehalten werden und nur Abfallstoffe sowie Wasser in den nötigen Mengen ausgeschieden werden. Dieser Mechanismus funktioniert bei den betroffenen Patienten nicht korrekt, was je nach Schweregrad zu einer ganzen Serie von Symptomen führen kann, weil die genannten Nährstoffe in grösseren Mengen über den Urin verloren gehen und umgekehrt Abfallstoffe nicht mehr korrekt ausgeschieden werden. Das Fanconi-Syndrom kann einerseits angeboren sein und vererbt werden (bei der Hunderasse Basenji sind etwa 10-20% der Tiere davon betroffen); auch andere Rassen wie Irish Wolfshound und Whippet können von der vererbten Variante betroffen sein. Andererseits können die Nieren durch Giftstoffe wie z.B. Schwermetalle und gewisse Medikamente oder als Folge von anderen Krankheiten wie Krebs oder schweren Leberproblemen geschädigt werden (erworbenes Fanconi-Syndrom). Die Krankheit wird mit speziellen Diätfuttermitteln und allenfalls Zusatzstoffen wie Kalium behandelt und kann je nach Schweregrad schlussendlich in ein Nierenversagen münden.
Seit 2007 werden insbesondere bei Klein- und Zwergrassen zuerst in den USA und später auch in Europa Fälle von Fanconi-Syndromen beobachtet, welche nicht auf eine vererbte oder "normale" erworbene Form zurückzuführen sind. Zwischen 2007 und 2015 wurden der amerikanischen Food and Drug Administration (FDA) 360 solche Fälle gemeldet. Allen betroffenen Hunden gemeinsam ist, dass ihnen sogenannte "Jerky Treats", also Leckerli aus getrocknetem Fleisch, verfüttert worden waren. Insbesondere "Chicken-Treats" (also Hühnchenfleisch), aber auch getrocknete Enten- und Truthahn-Jerkys aus chinesischer
Produktion scheinen das Problem zu verursachen. Dem Krankheitsbild wurde der Name "Fanconi-like Syndrom" verliehen. Im Gegensatz zum angeborenen sowie dem durch "normale" Giftstoffe entstandene Fanconi-Syndrom erholt sich der Grossteil der vom Fanconi-like-Syndrom betroffenen Hunde nach Absetzen der problematischen Leckerli wieder - eine Studie aus den USA fand, dass sich etwa 80% der Tiere nach durchschnittlich 2 1/2 Monaten wieder vom entstandenen Nierenschaden erholen können. Bis heute ist unbekannt, welcher Inhaltsstoff der "Treats" zum Problem führt.

Bei Mia scheint es wahrscheinlich, dass der Hund an einem "Fanconi-like-Syndrom" leidet - auf Nachfrage gab die Besitzerin nämlich an, dass sie dem Hund in der Vergangenheit tatsächlich "Chicken Jerky Treats" aus chinesischer Produktion verabreicht hatte. Dem Tier geht es gegenwärtig trotz der veränderten Laborwerten recht gut, und wir hoffen sehr, dass die Veränderungen in den kommenden Monaten wieder verschwinden werden.
© Dr. med. vet. P. Müller / Lyssbachvet