Der junge Rüde wird uns am Freitag Nachmittag vorgestellt. Seit er vor einer knappen Woche von einer Reise nach Ungarn zurückgekehrt ist, zeigt er einen zunehmend schlechten Appetit und ein reduziertes Allgemeinbefinden. Die Besitzerin hat zuvor mehrere Zecken aus der Haut entfernt und bringt eine davon zu ihrem Besuch bei uns mit. Es handelt sich um eine Auwaldzecke (Dermacentor Reticulatus).
In der Praxis ist der sonst sehr lebhafte Rüde aussergewöhnlich ruhig, frisst aber angebotene Leckerli. Er atmet verstärkt und zeigt eine erhöhte Körpertemperatur von 39.7 °C (normal: 38-39 °C). Die Milz fühlt sich sehr gross an; der restliche Untersuch ist unauffällig. Das zunehmend schlechtere Befinden erfordert eine rasche Abklärung, weshalb dem Hund Blut abgenommen wird und wegen der verstärkten Atmung eine seitliche Röntgenaufnahme der Brust sowie ein kurzer Bauchultraschall zur Beurteilung der Milz durchgeführt werden.


Der Blutuntersuch zeigt, dass die zur Blutgerinnung nötigen Blutplättchen sehr stark vermindert sind. Auch die roten Blutkörperchen sind deutlich unter der Norm, und die zur Abwehr notwendigen weissen Blutkörperchen liegen im unteren Normbereich oder darunter. Die Werte der Serumchemie, insbesondere das Blutabbauprodukt Bilirubin, liegen weitestgehend in der Norm.
Das Bruströntgen ist unauffällig; die verstärkte Atmung dürfte also aufgrund des Fiebers und durch die (aufgrund der fehlenden roten Blutkörperchen) reduzierte Sauerstofftransport-Kapazität des Blutes zustandekommen. Im Bauchraum findet sich keine Flüssigkeit; und abgesehen von der Grössenzunahme erscheint die Milz unauffällig.
Zusammengenommen weisen die Symptome und Laborbefunde auf eine Infektion mit einem durch Zecken übertragenen Erreger hin. Zur genaueren Abklärung wird im Blut einerseits ein entsprechender Schnelltest (Snap 4Dx) durchgeführt sowie eine Blutprobe dem kurzfristig mobilisierten Kurier eines externen Labors zur weiteren Untersuchung übergeben. Der Hund erhält ein Medikament, welches einige der möglichen Erreger abtöten würde sowie einen Fiebersenker, und eine Kontrolle am nächsten Morgen wird vereinbart.
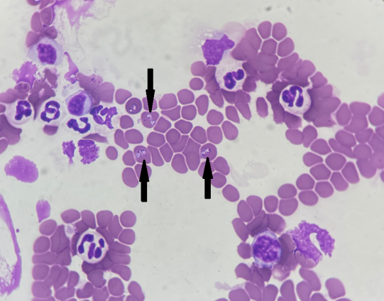
Der Schnelltest in der Praxis fällt negativ aus, dafür finden wir spätabends im Blutausstrich verdächtige Strukturen in einem Blutausstrich - der Hund leidet höchstwahrscheinlich an einer Babesiose

Am nächsten Morgen geht es dem Rüden nur mässig besser, wenn auch das Fieber etwas tiefer ist. Wie aufgetragen hat die Besitzerin den Morgenurin genau untersucht und festgestellt, dass dieser braunrot ist, was zu unserem Verdacht passen würde. Kurz darauf ruft uns auch noch die Laborantin des externen Labors an - sie hat sich glücklicherweise am Samstag Morgen die Zeit genommen, einen weiteren Blutausstrich zu untersuchen und bestätigt unseren Verdacht: Der Hund leidet an einer Babesiose.

Nun muss es schnell gehen. Zur Abtötung der Babesien sollte ein spezifisches Medikament (Nennung des Namens laut kantonalem Veterinäramt nicht zulässig) injiziert werden. Da das Präparat aber nur sehr selten gebraucht wird (in unserer Praxis letztmals 2011), haben wir es in unserer Apotheke nicht vorrätig. Wir kontaktieren eine Tierklinik, welche das Medikament verfügbar hat und überweisen den Hund zur Injektion notfallmässig.

Schon 3 Tage später geht es dem Hund massiv besser. Die Blutwerte sind erstaunlicherweise schon allesamt wieder in der Norm, die Milz weist eine normale Grösse auf und der Rüde zeigt kein Fieber mehr. Die nach mehreren Tagen eintreffenden weiteren Befunde aus dem externen Labor beweisen mittels der empfindlichen PCR-Untersuchungsmethode, dass sich der Hund mit Babesia canis, nicht aber mit Anaplasmen oder Ehrlichien infiziert hat. Das initial eingesetzte Antibiotikum wird deshalb abgesetzt. Zur Behandlung der Babesiose wird eine zweite Injektion mit Imidocarb empfohlen; da Aryo die erste Injektion aber sehr schlecht vertragen hatte, wird vorerst eine Blutkontrolle durchgeführt und nachgeforscht, ob noch Babesien vorhanden sind. Abhängig vom Resultat werden dann weitere Injektionen oder Kontrollen geplant.
Babesien sind einzellige Blutparasiten, welche von bestimmten Zecken übertragen werden. Neben dem Hund können auch Pferde, Rinder und der Mensch von verschiedenen Unterarten des Erregers befallen werden; beim Hund kommen insbesondere Babesia canis und Babesia gibsoni vor. In der Schweiz sind in der Vergangenheit nur phasenweise und in bestimmten Regionen vereinzelte Fälle aufgetreten. 2011 erkrankten 9 Hunde in der Umgebung von Dotzigen nahe Lyss an Babesiose (einer davon dürfte wohl der damals von uns portraitierte Fall sein); etwa ein Jahr später 19 Hunde in der Region des Baldeggersees (Kanton Luzern). Im Gegensatz dazu ist der Parasit in Ungarn endemisch, d.h. er kommt regelmässig vor. Eine Studie von 2006 fand bei 5.7% der lokalen Hunde Abwehrstoffe gegen Babesien - die Tiere hatten also Kontakt mit dem Parasiten.
Befällt der Parasit ein rotes Blutkörperchen, wird dieses vom Immunsystem zerstört. Die Zahl der roten Blutkörperchen kann so innert Kürze rapide sinken, der freiwerdende Blutfarbstoff Hämoglobin färbt den Urin entsprechend braunrot. Im Zuge des Abwehrkampfes werden auch die zur Gerinnung benötigten Blutplättchen zerstört; zu den Symptomen wie Fieber, Schwäche, Atemnot und Appetitverlust können sich entsprechend auch spontane Blutungen gesellen. Wird die Infektion früh festgestellt, ist die Prognose meist gut - unbehandelt verläuft eine akute, schwere Babesiose häufig tödlich. Es sind aber auch milde Infektionen möglich, bei denen der Hund ein chronischer Träger des Erregers wird.
Die Diagnose kann in vielen Fällen mittels mikroskopischer Beurteilung eines Blutausstriches gestellt werden. Die sogenannte PCR-Untersuchung des Blutes (hier wird nach Erbgut des Erregers im Blut gesucht) ist deutlich sensibler und erfasst auch Fälle mit geringen Mengen an Babesien im Blut.
Zur Prophylaxe empfehlen wir Hundebesitzern bei Reisen in Risikogebiete einen guten Zeckenschutz (Halsbänder, Tabletten oder Spot-on-Produkte).
© Dr. med. vet. P. Müller / Lyssbachvet