Timour lahmt auf dem linken Vorderbein stark. Einige Zeit zuvor zeigte der junge Rüde eine starke Lahmheit auf dem rechten Vorderbein, welche aber spontan wieder verschwand. Seit gestern ist der Hund auch apathisch, liegt viel und mag nicht fressen.
Der Allgemeinuntersuch von Timour verläuft unauffällig, bei Druck auf den Oberarmknochen des linken Vorderbeins zeigt der Hund aber sehr deutliche Schmerzen. Vorsichtshalber fertigen wir ein Blutbild an, welches aber völlig normal ist. In der Praxis zeigt der Hund normalen Appetit, weshalb wir den Rüden vorerst mit Schmerzmitteln nach Hause entlassen und eine Röntgentermin in einigen Tagen vereinbaren.
Beim Folgebesuch einige Tage später ist der Hund wieder ganz der alte - ungestüm, fröhlich und mit prächtigem Appetit gesegnet. In Sedation werden nun beide Vorderbeine geröntgt, um zu eruieren, was zu der wechselhaften Lahmheit geführt hatte.
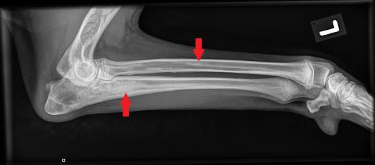
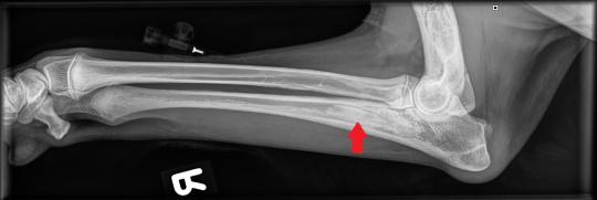
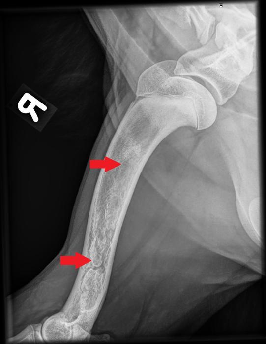
Die typischerweise von Wachstumsstörungen betroffenen Gelenke (Ellbögen und Schultergelenke) erscheinen wie erhofft unauffällig. In sämtlichen Langknochen (Elle, Speiche, Oberarmknochen) beider Vorderbeine zeigen sich jedoch starke Veränderungen: Das Knocheninnere weist an verschiedenen Stellen fleckige Verdichtungen auf, welche die normale feine Knochenstruktur verdrängt haben. Die beobachteten Veränderungen sind typisch für eine sogenannte Panostitis. Die Besitzerin erhält einen Vorrat an Schmerzmitteln, falls das Problem wieder aufflammen sollte.




Die Ursache der Panostitis (auch: eosinophile Panostitis, Enostosis, juvenile Osteomyelitis) ist unklar. Betroffen von dieser Wachstumsstörung sind insbesondere schnellwachsende Junghunde grosser Rassetypen. Es wird unter anderem vermutet, dass im Zuge des schnellen Wachstums der Langknochen (insbesondere Ober- und Unterarmknochen, aber auch Ober- und Unterschenkelknochen) eine Entzündung des Knochens entsteht, welche mit einer Erhöhung des Druckes im Knocheninnern und damit Schmerzhaftigkeit des Knochens einhergeht (Kompartment-Syndrom). Es scheint, dass der verwendete Futtertyp (hoher Eiweissanteil, hoher Kaloriengehalt) zu dieser Druckerhöhung beitragen kann. Die gute Nachricht ist, dass die Problematik bei den meisten Hunden verschwindet, wenn das Wachstum des Hundes abgeschlossen ist. Bis dahin können Schmerzmittel und eine Reduktion der Bewegung bei Schmerzsymptomen Linderung verschaffen.
© Dr. med. vet. P. Müller / Lyssbachvet