In diesem Beitrag geht es für einmal nicht primär um ein medizinisches Problem, sondern um das Thema Verantwortung, Finanzen und tierärztliche Ethik.
Schon seit einiger Zeit beobachtet der Besitzer, dass der Kater mit selbstgebastelten Schmuckstücken spielt, diese auch schluckt und dann via Kot oder Erbrochenem wieder von sich gibt (!). Seit gestern hat die Katze nun mehrfach heftig erbrochen und zeigt ein reduziertes Allgemeinbefinden.

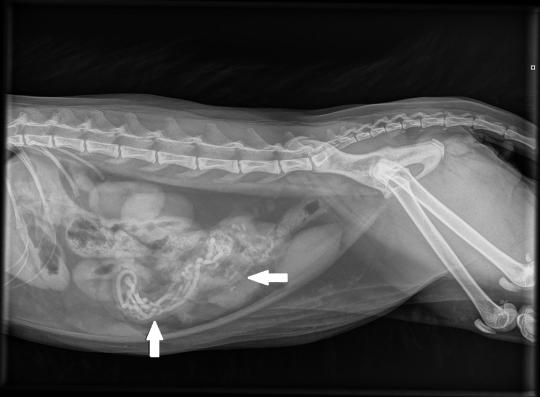
Die Vorgeschichte lässt natürlich aufhorchen, entsprechend werden umgehend Röntgenaufnahmen des Bauches angefertigt. Hier sind diverse längliche, röntgendichte Fremdkörper zu sehen - bei einigen ist unklar, ob sie nicht schon im Dickdarm angelangt und damit problemlos sind; bei anderen besteht insbesondere auf der Aufnahme in Rückenlage der Verdacht, dass sie im Dünndarm stecken und sich dieser über dem Fremdkörper aufgefältelt hat. Das Katerchen muss aufgrund des Darmverschlusses schnellstmöglich operiert werden.


Das Gespräch mit dem Besitzer lässt ein Problem erkennen: Es fehlen die finanziellen Mittel für den dringenden Eingriff. Zu allem Überfluss wurde unsere letzte Rechnung von 114.- trotz dreimaliger Mahnung und Kontakt durch unsere Inkassofirma nicht beglichen, der Betrag wurde entsprechend als Verlust abgebucht.
Bei grösseren Beträgen ist es verständlich und durchaus üblich, dass nicht die gesamten
Kosten sofort beglichen werden können - eine Anzahlung von 50% des Betrages und eine Rest- (oder gar Ratenzahlung) auf Rechnung ist in unserer Praxis entsprechend durchaus möglich. Die lebensrettende Operation samt Diagnostik, Hospitalisierung und Medikamenten würde ca. 1900 Franken kosten, der Besitzer könnte davon aber höchstens 200.- bezahlen - angesichts der schlechten Kreditwürdigkeit keine wirkliche Option. Der Besitzer sieht im Moment auch keine Möglichkeit, einen Beitrag von Verwandten oder Bekannten zu leihen.
Wir bieten dem Besitzer an, eine sogenannte Verzichtslösung einzugehen: Der Halter verzichtet auf das Tier und übergibt es in unsere Obhut. Im Gegenzug übernimmt die Praxis die Kosten für die Behandlung und vermittelt den Kater nach der Genesung an ein geeignetes Plätzchen (siehe auch den Fall von Ada). Enttäuschenderweise würde der Besitzer die Katze aber lieber einschläfern als so abzugeben. Eine Euthanasie kommt für uns aufgrund der Lösbarkeit des Problems aber keinesfalls in Frage.
Wir versuchen, eine letzte Option zu ziehen: Wir kontaktieren dieHaustierhilfe "Naturherzen" in Mönchaltdorf.
Dieser spendenfinanzierte, gemeinnützige Verein springt in geeigneten
Fällen ein, wenn die Besitzerschaft die Behandlung eines medizinisch
lösbaren Problems nicht bezahlen kann. Allerdings kann im vorliegenden Fall auch der Verein nicht helfen, weil der Besitzer seine Bedürftigkeit (z.B. Status als Sozialhilfebezüger, in der Schuldensanierung, Vorliegen von Betreibungen etc) nicht belegen kann.
Da die Euthanasie des Tieres für uns aus ethischen Gründen keine Option darstellt, bleibt uns nichts anderes übrig, als trotz negativen Vorzeichen auf das Wort des Besitzers zu vertrauen und eine Lösung mit Ratenzahlungen einzugehen.
Die Katze wird über eine intravenöse Infusion stabilisiert, mit Schmerzmitteln und Antibiotika behandelt und schnellstmöglich in den OP verbracht. Hier ist erkennbar, dass ein schnurähnlicher, langer Fremdkörper im Dünndarm steckt und diesen schon so weit geschädigt hat, dass nach der Entfernung des Fremdkörpers ein ca. 20 cm langes Darmstück entfernt werden muss. Vorsichtig werden die Darmenden zusammengenäht und die Bauchwunde verschlossen. Der Kater bleibt noch drei weitere Tage hospitalisiert und wird danach nach Hause entlassen. Leider entwickelt sich nach der Operation auch noch eine Entzündung des Unterhautfettes, was eine erneute Hospitalisation notwendig macht und damit weitere Kosten verursacht. Schlussendlich kann der Kater aber als geheilt entlassen werden. Der Besitzer wird angehalten, sämtliche problematischen Spielzeuge zu entfernen, damit sich das Unglück nicht wiederholt. Bei der Entlassung der Katze ist der Besitzer dann doch in der Lage, eine Anzahlung
zu leisten; der Restbetrag wird auf 4 monatliche Raten aufgeteilt. Wir hoffen, dass die vereinbarten Ratenzahlungen pünktlich vorgenommen werden.
Die meisten unserer Kund:innen haben ein inniges Verhältnis zu ihren Lieblingen und möchten diese bei Krankheit und Unfall gerne wieder gesund sehen. Leider geht aber bei der Anschaffung eines Haustieres zu häufig vergessen, dass aufgrund von Krankheiten oder Unfällen beträchtliche Kosten anfallen können, die das Budget der Besitzer übersteigen. Üblich ist bei grossen Beträgen und Kreditwürdigkeit der Besitzer eine Anzahlung von 50% des Totalbetrages und die Begleichung des Restbetrags per Rechnung. Wenn wir den Besitzer seit einiger Zeit kennen, er die Kostenproblematik selbständig vorbringt und ein guter Willen erkennbar ist, können in Härtefällen auch Ratenzahlungen vereinbart werden, welche über dieses Schema hinausgehen. Schwieriger sind für uns Fälle, bei welchen mit einem Zahlungsausfall gerechnet werden muss. Leider besteht in solchen Situationen häufig auch der Anspruch, dass wir als Tierärzte das finanzielle Problem der Besitzerschaft lösen sollen - sei dies durch Verzicht auf unser Honorar (oder Teile davon) oder durch die Organisation von externer Hilfe wie im vorliegenden Fall.
Selbstverständlich ist die Liebe zum Tier eine grosse Triebfeder für unsere Arbeit. Unser Metier ist aus wirtschaftlicher Sicht aber mit jedem anderen Beruf vergleichbar: Durch unsere Tätigkeit sichern wir uns ein Einkommen, können eine Altersvorsorge aufbauen, unsere Angestellten fair entlöhnen und Miete, Strom, Heizung und die Rechnungen unserer Lieferanten bezahlen. Eine unentgeltliche Tätigkeit ist entsprechend nicht möglich. Gerade in sozialen Medien ist aber häufig wenig Verständnis für diese Umstände vorhanden, und besteht die Anspruchshaltung, dass der Tierarzt dem Patienten aus Tierliebe und ungeachtet der finanziellen Möglichkeiten der Besitzerschaft zu helfen habe.
Das Halten eines Haustiers ist ein Luxusgut, und die finanzielle Verantwortung dafür liegt alleine beim Besitzer. Bei schwierigen finanziellen Verhältnissen lohnt sich der Abschluss einer Tier-Krankenversicherung oder das monatliche Beiseitelegen eines Betrages für allfällige medizinische Kosten.
Der folgende Kommentar illustriert die Erwartungshaltung von gewissen Tierhaltern - er wurde auf der Facebook-Seite eines deutschen Kollegen gepostet, welcher einen Artikel über die neue Gebührenordnung verfasst hatte und auf die damit gestiegenen Preise der medizinischen Leistungen hinwies:
© Dr. med. vet. P. Müller / Lyssbachvet