Kurz vor Weihnachten wird uns Nico vorgestellt, weil er in den vergangenen Tagen mehrfach kollabiert ist und auch Krämpfe zeigte. Nach ca 10 Minuten erholte sich der Hund jeweils wieder, zwischen den Episoden ging es Nico gut.
Der körperliche Untersuch ist unauffällig. Eine Blutentnahme zeigt einerseits, dass diverse Leberwerte erhöht sind; vor allem aber fällt auf, dass der Blutzucker (Glucose) unter dem Normalbereich liegt. Eine Blutprobe wird zur Bestimmung des im Blut zirkulierenden Insulins in ein externes Labor eingeschickt. Der Wert liegt weit über dem Normalbereich, was den Verdacht aufkommen lässt, dass Nico an einem Insulinom leidet. Dieser Bauchspeicheldrüsentumor scheidet übermässige Mengen an Insulin aus, was den Blutzuckerspiegel gefährlich sinken lässt.
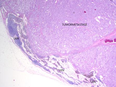
Nico wird für ein Computertomogramm ans Tierspital Bern überwiesen. Die Untersuchung zeigt, dass sich in der Bauchspeicheldrüse tatsächlich ein Geschwulst befindet; ausserdem ist ein nahegelegener Lymphknoten stark vergrössert, was den Verdacht eines Ablegers weckt; ausserdem enthält die Leber diverse weitere Knoten. Mit an Sicherheit grenzender Wahrscheinlichkeit leidet Nico an einem Insulinom, welches höchstwahrscheinlich schon Metastasen gebildet hat.
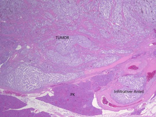
Vorerst erhält Nico Medikamente, welche den Blutzucker stabilisieren sollten; leider zeigt der Hund aber weiterhin Kollapse aufgrund von Unterzuckerungen. Die Besitzer möchten nichts unversucht lassen, weshalb wir Nico an eine onkochirurgische Spezialistin überweisen. In einer grossen Operation wird der befallene Teil der Bauchspeicheldrüse, der veränderte Lymphknoten, die ebenfalls veränderte Milz sowie zwei Leberlappen entfernt. Anschliessend erhält Nico einen Freestyle-Libre-Sensor aufgeklebt (siehe Fall des Monats Februar), damit die Besitzer den Glucosespiegel überwachen können. Das entfernte Gewebe wird durch einen Pathologen untersucht. Die Gewebeuntersuchung bestätigt, dass es sich bei der Bauchspeicheldrüsenmasse um ein Insulinom handelt, welches in einen Lymphknoten metastasiert hat. Die Veränderungen der Milz sind gutartig; bei den entfernten Leberknoten handelt es sich nicht um Insulinom-Ableger, sondern um primäre Lebertumoren.




Nico erholt sich erstaunlich gut von dem schweren Eingriff. In den ersten 3 Tagen nach der Operation fällt der Blutzucker phasenweise noch unter den Normalbereich, der Hund zeigt aber keine Kollapse mehr. In den folgenden 10 Tagen ist die Glucose dann aber konsequent normal und die beiden blutzuckerstbilisierenden Medikamente werden vorsichtig ausgeschlichen. 2 Wochen nach der OP ziehen wir die Fäden und entfernen den Blutzuckersensor. Nico geht es sehr gut.
Der Blutzucker wird durch die Ausschüttung des Hormons Insulin aus dem Pankreas (Bauchspeicheldrüse) reguliert. Steigt der Zuckerspiegel nach Aufnahme von Nahrung an, wird vermehrt Insulin ausgeschüttet, wodurch die Glucose aus dem Blut in die Körperzellen überführt wird, damit diese ernährt werden können. Sinkt der Blutzuckerspiegel ab, wird entsprechend kaum mehr Insulin ausgeschüttet. Dadurch bleibt der Glucosespiegel beim gesunden Tier stets innerhalb einer bestimmten Bandbreite (beim Hund ca 3.9 - 8.0 mmol/L). Das Gehirn wird praktisch ausschliesslich mittels Glucose (und nicht
z.B. durch Fette oder Proteine) mit Energie versorgt und ist darauf angewiesen, dass
jederzeit genügend Zucker zur Verfügung steht. Ist dies nicht der Fall, zeigt das Organ
Ausfallserscheinungen wie Kollapse und Krämpfe, welche zum
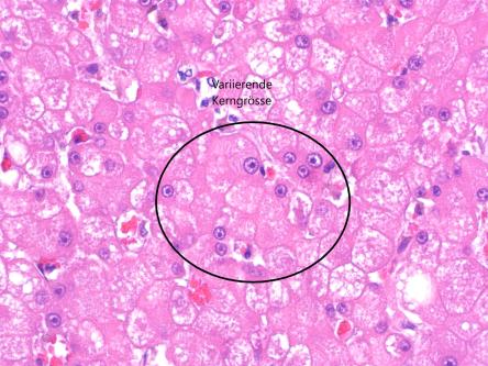
Tod führen können. Insulinome sind beim Hund eher seltene Krebsgeschwulste des Pankreas, welche Ableger in andere Organe bilden können. Sie entstehen durch Entartung der sogenannten Beta-Zellen der Bauchspeicheldrüse und schütten bei normalen Blutzuckerspiegeln unkontrolliert übermässige Mengen an Insulin aus. Dadurch sinkt der Glucosespiegel unter den Normalbereich, sofern nicht ständig neuer Zucker aus der Nahrung aufgenommen wird.
Bei Nico wurde zuerst erfolglos mittels Medikamenten (Cortison und Diazoxid) versucht, den Blutzuckerspiegel zu stabilisieren, was bei etwa 70% der behandelten Hunde zumindest für eine gewisse Zeit erfolgreich ist. Obwohl die Blutglucose kurz nach der Operation stets im Normalbereich lag, ist nicht komplett ausgeschlossen, dass sich an anderen Stellen im Körper Ableger des Insulinoms befinden könnten, welche zu einem spätere Zeitpunkt wieder Symptome bewirken könnten. Ausserdem konnte nur ein Teil der Leberknoten entfernt werden; es bleibt abzuwarten, ob die verbleibenden Knoten allfälligerweise in der Zukunft zu Problemen führen könnten. Für den Moment sind wir aber einfach froh, dass es Nico wieder so viel besser geht!
Wir danken Dr. N. Kühn herzlich für die Zurverfügungstellung der histologischen Aufnahmen.
© Dr. med. vet. P. Müller / Lyssbachvet