Mero lahmt seit einigen Wochen am linken Hinterbein, zum Teil belastet er die Gliedmasse überhaupt nicht.
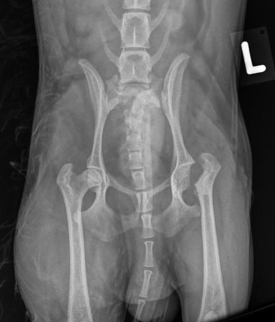
Im Untersuch scheint die Hüftregion des Junghundes schmerzhaft. Die Ursache dafür ist in einem Röntgenbild klar ersichtlich: Der linke Oberschenkelkopf escheint stark verändert; er ist nicht wie sein rechtes Gegenstück schön rund, sondern etwas eckig und von verminderter Röntgendichte. Mero leidet an einer sogenannten Aseptischen Femurkopfnekrose (Morbus Legg-Calvé-Perthes).


Die Therapie der Wahl besteht in einer Femurkopfresektion. Hierbei wird der Oberschenkelkopf chirurgisch entfernt. Anstelle des Hüftgelenkes entsteht in der Folge ein "Nicht-Gelenk", welches durch Narbengewebe und Muskulatur bei kleinen Hunden genügend Stabilität für einen praktisch normalen Gang bietet. Allerdings braucht Mero intensive Physiotherapie, damit er das "neue" Gelenk tatsächlich zu gebrauchen beginnt.

Die aseptische (= nicht durch Krankheitserreger ausgelöst) Femurkopfnekrose (= Absterben des Oberschenkelkopfes) ist eine Krankheit, welche fast ausschliesslich bei Zwerg- und Kleinhunderassen auftritt. Es wird vermutet, dass Durchblutungsstörungen in dieser Region zu einer Minderversorgung des Oberschenkelkopfs mit Nährstoffen und Sauerstoff führen, was zu einem langsames Absterben des Knochens führt. Betroffen sind meistens Kleinhunde im Alter von 3-13 Monaten, in der Regel ist nur eine Seite von der Krankheit betroffen. Wie bei Mero zu beobachten, zeigen betroffene Hunde schon einen starken Rückgang der Oberschenkelmuskulatur, weshalb eine intensive Physiotherapie nach der Operation sehr wichtig ist. Betroffene Tiere sollten aus der Zucht ausgeschlossen werden.
© Dr. med. vet. P. Müller / Lyssbachvet