KENYA, Hauskatze, weiblich-kastriert, 8 Jahre alt

Kenya zeigt seit längerer Zeit vermehrtes Speicheln und hält phasenweise auch das Maul offen. Die Besitzer befürchten, dass sie Schmerzen im Maul haben könnte.

Portrait Kenya

Untersuchung wach

Kenya lässt sich gut untersuchen. Alle Zähne sind stark von Zahnstein befallen, das Zahnfleisch ist gerötet und geschwollen und der Kieferknochen stellenweise verdickt. Einzelne Zähne scheinen auch zu wackeln. Der restliche Untersuch ist unauffällig. Ein Termin zur Zahnsanierung in Narkose wird vereinbart.

Situation Maul

Zahnreinigung

Kenya wird narkotisiert, intubiert (Einsetzen eines Luftröhrenschlauchs zum Schutz der Atemwege und Versorgung mit Narkosegas und Sauerstoff), auf eine Wärmematte gelegt und an die Überwachungsgeräte angehängt. Wir injizieren verschiedene Schmerzmittel, legen eine intravenöse Infusion zur Stützung des Kreislaufs und entfernen in einem ersten Schritt den Zahnstein.

Situation nach Zahnreinigung

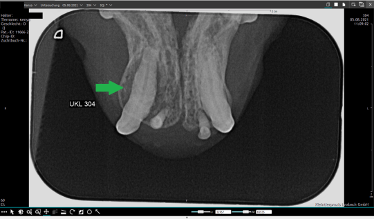
Zahnröntgen

Anschliessend werden die Zähne einzeln befundet und alle vier Kieferquadranten geröntgt. Dabei stellt sich heraus, dass eine Vielzahl von Kau-, Eck- und Schneidezähnen beschädigt oder faul sind.

Zahnröntgen

Im linken Unterkiefer lassen sich beispielsweise zwei verschiedene Krankheitsprozesse erkennen: Der Eckzahn (Zahn 304) weist eine Entzündung des Zahnfachs auf: Der Knochen um die Wurzel des Zahnes ist durch die chronische Entzündung stark aufgetrieben und der Zahn wackelt entsprechend (grüner Pfeil). Die hintere Wurzel des letzten Kauzahns (Zahn 309) ist zerfressen, hier handelt es sich um eine sogenannte FORL-Schädigung (roter Pfeil). Die beiden restlichen Zähne weisen Komponenten beider Erkrankungen auf.

UKL
Canini

Chirurgie

14 Zähne müssen anschliessend operativ entfernt werden. Im linken Unterkiefer müssen sämtliche Zähne gezogen werden, nur so kann eine Schmerzfreiheit des Tiers erreicht werden. Die feinen Fäden, mit denen das Zahnfleisch nach der Zahnextraktion genäht wird, lösen sich mit der Zeit von selbst auf.

Nach Extraktion

Unter Schmerzmittel und Antibiotika heilen die Wunden gut ab; 4 Wochen nach dem Eingriff geht es der Katze gut und sie ist schmerzfrei.

Wissenschaftliches

Zahnprobleme sind bei Hunden und Katzen häufig. Manchmal reicht eine Entfernung des Zahnsteins und Politur der Zähne in Narkose; oft müssen aber beschädigte oder faule Zähne gezogen werden. Da gewisse Zahnschäden von Auge nicht erkennbar sind, werden die Kiefer insbesondere bei Katzen oft geröngt. Eine sehr schmerzhafte und häufige Problematik bei der Katze ist die sogenannte FORL-Erkrankung (Feline Odontoclastic Resorptive Lesions) - jede zweite Katze über 5 Jahre ist davon betroffen. Durch nicht komplett geklärte Mechanismen wird die Aktivität von Zahnsubstanz-abbauenden Zellen im Zahn erhöht, wodurch dieser mit der Zeit zerfressen wird. Dadurch wird das empfindliche Zahnbein (Dentin) und sogar die Pulpa ("Zahnnerv") freigelegt, was sehr schmerzhaft ist. Die Problematik wird vom Besitzer häufig unterschätzt, weil manche Katzen nur wenig Symptome wie Speicheln, Reiben am Maul, Zähneklappern oder Schmerzäusserungen zeigen. Gewisse Veränderungen sind von Auge nicht erkennbar, weshalb eine Röntgenuntersuchung nötig ist. Wichtig ist, dass der betroffene Zahn komplett entfernt wird, weshalb die Extraktion meist chirurgisch erfolgt: Nachdem das Zahnfleisch vom Knochen entfernt wurde, wird der Kieferknochen über den Wurzeln sorgfältig weggefräst und der Zahn samt Wurzeln quasi seitwärts aus dem Knochen entfernt und die Schleimhaut wieder vernäht. Auch nach Entfernung von vielen oder gar allen Zähnen fressen die Tiere problemlos auch Trockenfutter.

© Dr. med. vet. P. Müller / Lyssbachvet

Diese Webseite verwendet Cookies. Durch die Nutzung der Webseite stimmen Sie der Verwendung von Cookies zu. Datenschutzinformationen