Die Besitzer beobachten seit etwa zwei Wochen bei Schnurrli Verhaltensänderungen. Sie zeigt einen zunehmend verminderten Allgemeinzustand, geht weniger auf der Terrasse spazieren, trinkt eher etwas mehr, scheint wackelig auf den Beinen und kratzt sich auch öfter an den Ohren. Auch die Stimme der Katze hat sich in dieser Zeit verändert.
Seit einer Woche zuckt Schnurrli auch mehrfach täglich während einigen Sekunden mit dem Kopf und der Gesichtsmuskulatur und miaut. Sie ist dabei jeweils bei Bewusstsein, der ganze Körper ist aber stark angespannt.
Beim Untersuch ist der Gang nicht beurteilbar, da die Katze nicht zum Gehen zu bewegen ist. Sie scheint mürrisch, kratzbürstig und faucht tonlos. Ein neurologischer Untersuch der sogenannten Proprioception, der Reflexe und der Kopfnerven sowie des Augenhintergrunds verläuft unauffällig. Aufgrund der Symptomatik muss aber von einem Problem ausgegangen werden, welches direkt oder indirekt seinen Ursprung im Hirn hat. Eine Blutuntersuchung lässt keine Probleme ausserhalb des Kopfes erkennen, weshalb eine weiterführende Untersuchung mittels Magnetresonanzuntersuchung des Kopfes zur Debatte gestellt wird. Schlussendlich entscheiden sich die Besitzer aber vorerst zu einer versuchsweisen Therapie mit einem Epilepsiemedikament.
In den nächsten Tagen geht es Schnurrli zunehmend schlechter. Zwar haben die Zuckungen der Gesichtsmuskulatur aufgehört, dafür zeigt die Katze nun zunehmende Gleichgewichtsstörungen und Apathie. Nach drei Tagen setzen wir das Epilepsiemedikament ab und entnehmen nochmals eine Blutprobe, um eine Schädigung der Leber durch das Medikament auszuschliessen. Die Leberwerte sind aber unauffällig.
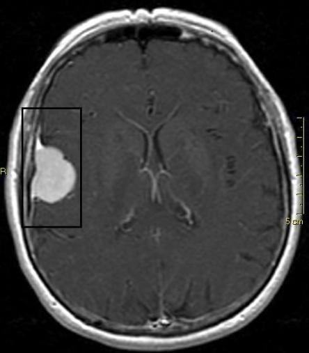
Nach einer kurzen Bedenkzeit entscheiden sich die Besitzer, nun weitere Abklärungen vorzunehmen, und Schnurrli wird an die neurologische Abteilung des Tierspitals Bern überwiesen. Eine Magnetresonanzuntersuchung des Kopfes zeigt, dass die Katze an einer grossen Krebsgeschwulst in der linken Hirnhälfte leidet, welche auf das Hirngewebe drückt. Am Wahrscheinlichsten handelt es sich dabei um einen (in der Regel gutartigen) Tumor der Hirnhaut, ein Meningeom.
Ein Neurochirurge entfernt nach Öffnen des Schädels die Masse, die Operation verläuft komplikationslos und Schnurrli darf 3 Tage später wieder nach Hause, erhält aber erneut ein Medikament gegen epilepische Anfälle.

Schnurrli geht es nach der schweren Operation zunehmend besser. 2 Wochen postoperativ ziehen wir die Fäden - die Wunde ist schön verheilt, die Katze läuft normal und zeigt sich gegenüber der ersten Untersuchung sehr viel freundlicher und weniger kratzbürstig. Die Besitzerin berichtet, dass die Katze nur noch im Schlaf Zuckungen der Gesichtsmuskulatur aufweist. Eine Blutuntersuchung zeigt, dass der Spiegel des Epilepsiemedikamentes leicht unter dem idealen Spiegel liegt, weshalb wir die Dosis etwas erhöhen.
Eine Folgebehandlung mittels Bestrahlung, welche allfällige noch verbleibende Krebszellen bekämpfen sollte, lehnen die Besitzer nicht zuletzt aufgrund des hohen Aufwandes ab.
Das Meningeom ist der häufigste primäre Hirntumor bei Katzen und Hunden. Es stellt eine Entartung der Meningen, also der das Hirn und das Rückenmark umhüllenden Hirnhäute, dar. Sie sind meistens gutartig (d.h. sie wachsen nicht in das umliegende Gewebe ein oder bilden Ableger) und wachsen langsam. Die Symptome entwickeln sich aufgrund des ständig zunehmenden Druckes auf das im Schädel eingeschlossene Hirn und können zu Beginn sehr subtil sein (Wesensänderung, vermehrtes Miauen oder Kratzen am Kopf). Zur Diagnose ist idealerweise ein MRT oder allenfalls ein CT notwendig; auf einem normalen Röntgenbild ist der Tumor meist nicht zu erkennen.
Die Geschwulst ist in der Regel gutartig und verhältnismässig häufig chirurgisch zugänglich. Die Prognose ist nach Entfernung bei Katzen erfreulich gut - bei über 90% der Katzen verschwinden die Symptome nach der Entfernung, und nur bei 10% der operierten Tiere wird ein erneutes Wachstum zu Lebzeiten der Katze beobachtet.
CT (Computer-Tomogramm) und MRT (Magnet-Resonanz-Tomogramm) sind moderne bildgebende Verfahren, bei welchen das Zielgebiet quasi in Scheiben geschnitten und so dreidimensional dargestellt werden kann (altgriechisch "tomo" = "Schnitt", "graphein" = "schreiben"). Beim CT wird dazu die altbewährte Röntgentechnik benutzt, indem die Röntgenröhre spiralig um das Zielgebiet geführt wird und dabei unzählige Aufnahmen macht. Eine CT-Aufnahme dauert kürzer als ein MRT, verursacht aber eine Belastung mit Röntgenstrahlen. Beim MRT wird ausgenutzt, dass die Atomkerne des Gewebes einen sogenannten Kernspin und damit ein kleines Magnetfeld besitzen. Mittels eines von aussen kurzfristig zusätzlich angelegten Magnetfeldes können aufgrund der folgenden Veränderungen der Ausrichtung der Atomkern-Magnetfelder im Zielgebiet Rückschlüsse auf den jeweiligen Gewebetyp gezogen werden. Die verschiedenen Gewebetypen werden als unterschiedliche Graustufen dargestellt. Bei beiden Untersuchungen muss der Patient absolut still liegen; entsprechend werden Tiere dazu in Vollnarkose versetzt.

© Dr. med. vet. P. Müller / Lyssbachvet
