Charly wird uns zur Zweitmeinung vorgestellt. Im ersten Lebensjahr zeigte er erstmals in der Hinterhand Probleme beim Gehen und Springen, welche dann aber wieder verschwanden. Seit 2-3 Monaten hat er nun wieder grosse Probleme, auf das Sofa zu springen oder den Katzenbaum zu besteigen; zwischenzeitlich zeigt er auch eine eigentliche Lahmheit zuerst der rechten, dann der linken Hintergliedmasse. Schmerzmittel brachten das Problem nicht zum verschwinden, weshalb die Haustierärztin Charly mit dem Verdacht auf ein Rückenproblem an einen Neurologen für ein MRT der Wirbelsäule überwies. Die Untersuchung deckte aber keine Veränderungen des Rückens auf, weckte aber den Verdacht einer Hüftgelenksproblematik, weshalb vom Neurologen eine Röntgenuntersuchung empfohlen wurde.

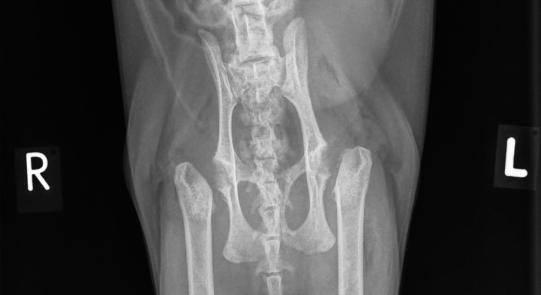
Charly wird orthopädisch untersucht. Er zeigt ein stark verändertes Gangbild in der Hinterhand: Die Katze läuft mit gekrümmtem Rücken, untergeschobenen Hinterbeinen und wie auf Eiern. Die Oberschenkelmuskulatur ist beidseits schlecht ausgebildet, und das Strecken der Hüftgelenke ist ganz offensichtlich schmerzhaft. In einer kurzen Sedation werden deshalb Röntgenaufnahmen des Beckens und der Hüftgelenke angefertigt. Hier ist die Ursache des Problems ersichtlich: An beiden Oberschenkelhälsen ist eine Bruchlinie zu sehen; die Oberschenkelköpfe sind beidseits vom Oberschenkelhals-Knochen abgebrochen!


Die Röntgenveränderungen erklären die Gangprobleme von Charly vollständig - er leidet unter einer beidseitigen sogenannten metaphysealen Osteopathie der Oberschenkelhälse.
Die Therapie des Problems besteht wie bei einem "normalen" Oberschenkelhalsbruch bei der Katze in der chirurgischen Entfernung der abgebrochenen Oberschenkel-Gelenksköpfe. Dieses Verfahren ist deutlich einfacher und erfolgsversprechender als der Versuch, die Gelenksköpfe wieder am Oberschenkel zu befestigen. Da aufgrund der langen Krankheitsdauer mit viel Narbengewebe und einem schwierigen Zugang zum Operationsgebiet gerechnet werden muss, überweisen wir Charly für die Operation an eine chirurgische Spezialklinik. Zehn Tage nach der Operation ziehen wir die Fäden - Charly benutzt die Hinterbeine schon wieder recht gut; es ist zu erwarten, dass nach der Rekonvaleszenz sein Gang viel besser sein wird als vor der OP und die Katze vor allem schmerzfrei sein wird.
Der Fall von Charly ist sehr ungewöhnlich. Hüftprobleme kommen bei Katzen gegenüber Hunden generell eher selten vor; zum Thema der Oberschenkelhals-Osteopathie finden sich in der Literatur nur einige Fallberichte und kleine Fallserien. Die Krankheit tritt meist im jungen Alter und insbesondere bei schweren, kastrierten Katern auf; es wird vermutet, dass eine Störung in der Verknöcherung der knorpligen Wachstumszone des Oberschenkelhalses vorliegt. Entsprechend wird die Wachstumszone instabil und kann brechen. In der Folge löst sich ein Teil des Oberschenkelkopfes vom Rest des Knochens, was zu starker Lahmheit führt.
Therapeutisch könnte in akuten Fällen die chirurgische Wiederbefestigung des losgelösten Oberschenkelkopfes angestrebt werden. Da die Bruchstelle unter Umständen wegen der unterliegenden Erkrankung aber nicht normal heilen könnte, besteht ein gewisses Rezidivrisiko. Entsprechend kommt (insbesondere bei länger bestehenden Frakturen) die Oberschenkelkopf-Ostektomie (FHO) zum Zug. Hier wird der Oberschenkelkopf und -hals chirurgisch entfernt und so ein "nicht-Gelenk" geschaffen. Nach der Operation entwickeln Narbenbildung und Muskulatur genügend Stabilität, um einen praktisch normalen (und v.A. schmerzfreien) Gang zu ermöglichen. Der Eingriff ist insbesondere bei leichten Tieren wie Katzen und kleinen Hunden meist einfacher und erfolgreicher als ein Versuch der Wiederbefestigung des Oberschenkelkopfes.
© Dr. med. vet. P. Müller / Lyssbachvet