Nach 9 Wochen Trächtigkeit ist es endlich soweit - die Malinois-Hündin einer Praxismitarbeiterin liegt in den Wehen. Die Hündin steht im Zuchtrecht - d.h. sie gehört der Praxismitarbeiterin, jedoch hat die Züchterin des Tieres Anrecht darauf, mit der Hündin einen oder mehrere Würfe zu planen. Doch die Geburt steht unter einem schlechten Stern - der erste Welpe ist tot, und anschliessend tut sich die Mutter schwer mit Gebären, weshalb ein Kaiserschnitt durchgeführt wird. Hier setzt sich die Unglücksserie fort - von den fünf verbleibenden Welpen überleben nur drei die Operation, eine unüblich hohe Sterblichkeit. Die verbleibenden drei Jungtiere, zwei Hündinnen und ein Rüde, entwickeln sich aber vorerst prächtig.

Mit rund 6 Wochen Alter geht es zwei der drei Welpen plötzlich nicht mehr gut - sie zeigen einen reduzierten Appetit, sind apathisch und erbrechen; teilweise entwickeln sich Atemnot und Zitteranfälle. Die durchgeführten Blutuntersuchungen sind weitestgehendst unauffällig; auf Bruströntgen ist erkennbar, dass die Luftröhre vergleichsweise klein ist - was aber die Symptome nicht abschliessend erklären würde. Nach kurzer Krankheit stirbt der erste Welpe; und kurze Zeit darauf trotz Überweisung in eine Klinik auch der zweite - beide Tiere sind kaum 8 Wochen alt. Der dritte Welpe hingegen entwickelt sich weiter normal und ist auch heute gesund. Die Ratlosigkeit und Trauer der Besitzerin des Muttertieres und deren Züchterin sind riesig - dass von einem Wurf von 6 Welpen nur ein einziger die ersten beiden Lebensmonate überlebt ist absolut aussergewöhnlich. Die Befürchtung, dass es sich nicht um Zufall, sondern um eine neue Erkrankung handeln könnte, welche die Rasse des Belgischen Schäferhundes generell betreffen könnte, veranlassen die verantwortlichen Personen, eine genauere Untersuchung der Todesursache der Tiere anzustrengen.
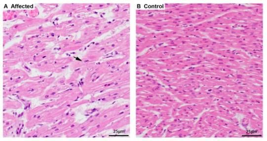
Die beiden verstorbenen Welpen werden pathologisch untersucht. In der mikroskopischen Untersuchung finden sich abnormale, angeschwollene Herzmuskelzellen, ausserdem werden in Leber und Bauchspeicheldrüse unübliche Ablagerungen von unstrukturiertem Material gefunden. Die Todesursache scheint angesichts der veränderten Herzmuskelzellen schlussendlich ein Herzversagen gewesen zu sein - aber was hat zu diesem unüblichen Krankheitsbild mit dem plötzlichen Tod geführt?

Aufgrund der Häufung der vorerst unerklärlichen Todesfälle innerhalb des Wurfes scheint es wahrscheinlich, dass ein angeborener Gendefekt die Ursache für die Gewebeveränderungen und damit die hohe Sterblichkeit gewesen ist. Im Institut für Tiergenetik der Vetsuisse-Fakultät Bern macht sich ein Forscherteam daran, Daten zusammenzutragen, um diesem Verdacht nachzugehen. In einem öffentlichen Aufruf werden Besitzer von Malinois-Hunden gebeten, Blutproben ihrer Tiere einzusenden - schlussendlich stehen durch internationale Zusammenarbreit Proben von mehreren hundert Tieren zur Verfügung. Je grösser die Menge an genetischen Daten von gesunden Hunden ist, desto grösser ist die Wahrscheinlichkeit, dass eruiert werden kann, welche Genfehler bei den verstorbenen Tieren vorhanden waren. Bei der Recherche stossen die Forscher auf einen nahe verwandten Welpen, welcher nach kurzer Krankheit und an diffusen Krankheitssymptomen ebenfalls verstorben war und analysieren auch dessen DNA. Durch geduldige Detektivarbeit lässt sich so ein Defekt im Gen "YARS2" eruieren - bei allen drei verstorbenen Welpen waren beide Kopien des Gens defekt, was offensichtlich zum Tod der Tiere geführt hat. Die Forscher taufen die neue Krankheit "CJM" - "Cardiomyopathie und Juvenile Mortalität beim Belgischen Schäferhund". Die Arbeit wird kurz darauf in einer Genetik-Zeitschrift publiziert und trägt den Titel "YARS2 Missense Variant in Belgian Shepherd Dogs with Cardiomyopathy and Juvenile Mortality" - "Fehlerhafte YARS2-Variante in Belgischen Schärferhunden mit Herzmuskelerkrankung und jugendlicher Sterblichkeit". Ca. ein Viertel aller untersuchten Hunde scheinen ein defektes Gen zu tragen; zu Todesfällen kommt es allerdings nur, wenn beide Varianten des Gens defekt sind.

Die traurige Geschichte des Sechserwurfes, von dem nur ein einziger Welpe überlebte, ist ein gutes Beispiel für moderne schulmedizinische Forschung: Bis vor kurzen war die Krankheit noch unbekannt gewesen, obwohl davon ausgegangen werden muss, dass entsprechende Todesfälle schon früher aufgetreten waren. Die Detektivarbeit der Genetik-Forscher führte, nicht zuletzt dank
internationaler Zusammenarbeit, dazu, dass die beobachteten Todesfälle
einer "neuen" Krankheit, und diese einem genau definierten Gendefekt
zugeordnet werden konnte. Schliesslich wurde innert Kürze sogar ein
genetisches Testverfahren erstellt, mit welchem kommerzielle Labors nun
Zuchttiere auf den Gendefekt untersuchen können, wodurch vor einer
Paarung festgestellt werden kann, ob sie problemlos ist oder nicht. So kann in Zukunft vermieden werden, dass weitere Welpen an der Krankheit sterben.
Weiter muss hervorgehoben werden, dass nur die Sorge um die Gesundheit der Rasse des Malinois auf Seiten der Besitzerin und der Züchterin überhaupt erst die Autopsie der Welpen und damit die Entdeckung des Problems ermöglicht hatte. Die defekte Variante des Gens scheint bei über einem Viertel der Malinois vorhanden zu sein, weshalb es sehr wahrscheinlich ist, dass in der Vergangenheit schon viele Welpen an der Krankheit gestorben sind: Wurden nämlich eine betroffene Hündin und ein betroffener Rüde gepaart (was ohne Test auf die Krankheit mit einer Wahrscheinlichkeit von etwa 1:16 geschieht), wird statistisch jeder 4. Welpe der Paarung an der Krankheit sterben - eine beträchtliche Zahl.
Die Erbsubstanz DNA ist ein Code, aufgrund dessen die Zellen des Körpers je nach ihrer Funktion unterschiedliche Produkte (Eiweisse) herstellen. Die DNA ist in sogenannte Gene unterteilt - jedes Gen codiert für eine bestimmte Funktionalität innerhalb des Organismus. Von jedem Gen trägt die Zelle 2 Varianten: Die eine stammt von der Mutter des Lebewesens, die andere vom Vater. Im untenstehenden genetischen Schema sind die in der Studie zu CJM involvierten Hunde als
Kreise (Hündinnen) und Quadrate (Rüden) dargestellt. Schwarz markiert
sind die verstorbenen Welpen; unten links grau eingefasst sieht man den
betroffenen Wurf mit dem Vater (Hund MA465) und der Mutter (Hund MA466)
sowie den 3 untersuchten Welpen MA467, MA471 und MA470. Die verstorbenen
beiden Welpen (schwarz gekennzeichnet) zeigen mit "A/A" einen Defekt
beider Genkopien, der dritte, gesunde Welpe mit G/G zwei normale
Genkopien. Beide Elterntiere sind zwar gesund, tragen aber je eine
defekte Genkopie in sich (G/A). Im Falle der CJM ist der Defekt im "YARS2"-Gen nur dann ein Problem,
wenn er sowohl im mütterlichen als auch im väterlichen Gen auftritt -
das betroffene Tier stirbt. Ist nur eines oder gar keines der beiden
Gene betroffen, bleibt das Tier gesund. Werden zwei Tiere gepaart,
welche jeweils zwei gesunde Genkopien tragen, bleiben alle Nachkommen
gesund. Werden hingegen zwei Tiere gepaart, welche je Träger eines abnormalen Genes sind, wird statistisch jeder 4. Welpe zwei abnormale Gene erhalten und an der Krankheit sterben.

© Dr. med. vet. P. Müller / Lyssbachvet