Ein letztes Mal in der Karriere der Zuchthündin möchten die Besitzer Duna decken lassen. In der Hundezucht reist in aller Regel die Hündin zum Decken zum Rüden, und dieser lebt in diesem Fall etwa zwölf Autostunden entfernt in Ungarn. Um nicht zum falschen Zeitpunkt oder gar vergeblich den langen Weg unter die Räder zu nehmen, möchten die Züchter den idealen Deckzeitpunkt bestimmen lassen.
Zur Eruierung des optimalen Deckzeitpunktes kann die Menge an Progesteron im Blut der Hündin bestimmt werden. Je nach Wert kann festgestellt werden, in welcher Zyklusphase der Hund sich befindet und so abgeschätzt werden, wann ein Eisprung stattfindet und die Hündin fruchtbar ist. Wegen der langen Anreise nach Ungarn wünschen die Züchter grösstmögliche Sicherheit, weshalb schon früh in der Läufigkeit mit der Bestimmung von Progesteron begonnen wird. Erst bei der vierten Bestimmung wird ein leichter Anstieg festgestellt; der 6. Wert ist dann so hoch, dass den Besitzerin empfohlen wird, die Reise anzutreten. Duna kann in der Folge problemlos an zwei aufeinanderfolgenden Tagen gedeckt werden.

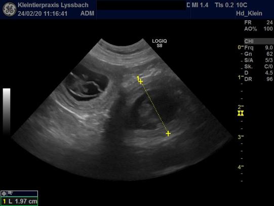
Rund drei Wochen nach dem Decken führen wir bei Duna einen Trächtigkeitsultraschall durch und können erfreut feststellen, dass die Hündin mit mindestens 6 Welpen trächtig ist - die Fruchtblasen sind in der Zwischenzeit schon ca. 2 cm gross und der Herzschlag ist sichtbar.

Je nach Individuum und Rasse wird eine Hündin ca. 2x jährlich läufig. An Ende der hormonellen Ruhephase (Anöstrus) steigt das Östrogen im Blut langsam an und die Hündin beginnt, blutigen Scheidenausfluss zu zeigen - diese Phase wird als Proöstrus bezeichnet und dauert im Durchschnitt eine gute Woche. Kurz nach Erreichen des maximalen Östrogenspiegels erfolgt bei nun sinkendem Östrogen und langsam ansteigenden Progesteron der sogenannte LH (Luteinisierendes Hormon)-Peak, welcher kurz darauf von Eisprüngen gefolgt ist. Die Hündin ist nun im Östrus und zeigt ein deckbereites Verhalten. Diese Phase dauert durchschnittlich eine Woche, während der der Progesteronspiegel in einer bestimmten Bandbreite liegt. Anschliessend toleriert die Hündin Deckversuche nicht mehr, währenddem der Progesteronspiegel noch weiter steigt - diese Phase nennt sich Metöstrus.
Die Bestimmung des idealen Deckzeitpunktes ist für Züchter ein wichtiges Instrument. Angenehm ist, dass seit kurzem ein Testsystem verfügbar ist, welches die Progesteronbestimmung in der Praxis ermöglicht, so dass die Werte sehr schnell (und nicht erst am nächsten Tag) verfügbar sind. Je nach Resultat kann entschieden werden, ob und wann eine weitere Bestimmung des Progesteron durchgeführt werden sollte, oder ob die Hündin deckbereit ist. Neben dem Blut-Progesteron können auch Scheidenabstriche hilfreich sein, bei welchen die Zusammensetzung der Zellen beurteilt werden.
© Dr. med. vet. P. Müller / Lyssbachvet