Besorgt stellen uns die Besitzer Jimi vor: Seit einigen Tagen scheint die Katze hinten schlechter gehfähig, seit gestern mag der Kater nun auch nicht mehr fressen. Vor einer Woche hatten die Besitzer vor dem Haus möglicherweise Katzen kämpfen gehört.

Obwohl Jimi bekannterweise ein ängstliches Tier ist, welches sich bei uns vor Schreck jeweils sehr zurückhaltend verhält, scheint er doch aussergewöhnlich ruhig. Die Körpertemperatur und der Allgemeinuntersuch sind unauffällig, jedoch ist in der linken Leistengegend das Unterhautgewebe diffus geschwollen, verhärtet und schmerzhaft. Die Haut selbst ist aber unversehrt. In einer Röntgenaufnahme ist erkennbar, dass die Knochen von Becken, Hüftgelenken und Oberschenkeln unversehrt sind; allerdings ist im Bereich der linken Leistenregion eine seltsame, streifige Röntgensignatur zu sehen, welche auf eine Flüssigkeitsansammlung im Unterhautgewebe hinweisen könnte. Ob sich Jimi hier einen Bluterguss zugezogen hat?

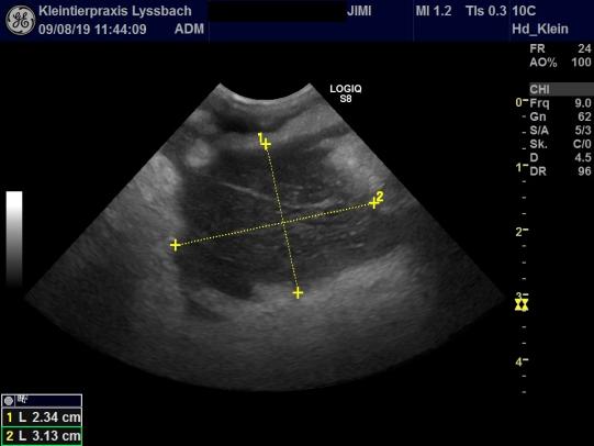
Mittels Ultraschall wird die Gegend untersucht. Tatsächlich findet sich eine grosse Kammer mit freier, stark echogener Flüssigkeit, welche wir punktieren: Zu unserer Überraschung finden wir aber nicht Blut, sondern eindeutig Eiter! Ganz offensichtlich hat sich an dieser seltsamen Lokalisation ein grosser Abszess gebildet.

Aufgrund des Schweregrads des Problems wird Jimi hospitalisiert, mit Schmerzmitteln, Antibiotika und einer intravenösen Infusion versorgt. Unter Narkose wird in der Leistenregion ein grosszügiger Schnitt angebracht. Nun wird das ganze Ausmass des Problems erkennbar: Zwischen Bauchwand und Innenschenkel hat sich ein etwa pfirsichgrosser Abszess gebildet; das umliegende Fett- und Muskelgewebe ist durch die Vereiterung im Absterben begriffen. Glücklicherweise hat sich der Abszess aber nicht in die Bauchhöhle ausgeweitet. Eine bakteriologische Tupferprobe wird entnommen, die Abszesshöhle wird ausgiebig gespült und das abgestorbene Gewebe soweit möglich entfernt; anschliessend wir der Abszess mit mehreren Drains versehen. Jimi übersteht die Narkose gut und zeigt am nächsten Tag schon wieder etwas Appetit.
Jimi geht es nun täglich etwas besser. Eine Woche später werden die Drainagen entfernt, die Abszesshöhle enthält nun kein abgestorbenes Gewebe mehr. In einer zweiten Operation wird die Abszesshöhle aufgefrischt (d.h. das sogenannte Granulationsgewebe mit einem scharfen Löffel angekratzt, um eine grösstmögliche Heilungsbereitschaft zu erreichen) und die grosse Wundhöhle mit einigen Nähten mit resorbierbarem Faden verschlossen. Zwei weitere Drains werden eingelegt, damit allfälliges Wundsekret abfliessen kann, und die Haut chirurgisch verschlossen.

Nachdem einige Tage später auch diese Drains noch entfernt worden sind, verheilt die Wunde problemlos, so dass schlussendlich auch die letzten Hautnähte noch entfernt werden können.
Bei den im Abszess gefundenen Bakterien handelte es sich bei Jimi um einen typischen Eitererreger mit problemlosem Resistenzspektrum. Wie sich die Katze an diesem seltsamen Ort einen solch gewaltigen Abszess zugezogen hat, und weshalb sich dieser nicht mit Fieber oder einer Hautrötung bemerkbar gemacht hatte, bleibt ungeklärt - klar ist, dass die Vereiterung schlimmstenfalls zum Tod der Katze geführt hätte, wäre sie nicht rechtzeitig erkannt worden. Bei Bissverletzungen durch einen Katzenkampf entstehen zwar häufig Abszesse, allerdings werden solche meist durch eine Eitersekretion an den Bissstellen erkannt und entwickeln sich nicht an einer solch seltsamen Stelle wie bei Jimi.
© Dr. med. vet. P. Müller / Lyssbachvet