Alle drei Hunde der Besitzerin husten - offenbar haben sie sich mit dem sehr ansteckenden, aber meist nicht bedrohlichen Zwingerhusten angesteckt und die Tiere erhalten ein Medikament gegen den Reizhusten. Nun stellt die Besitzerin aber fest, dass es Asky nicht mehr gut geht - sie scheint apathisch und mag nicht fressen, und so wird ein Tierarzttermin für den Hund vereinbart.

Auf dem Untersuchungstisch hustet die Hündin, sie scheint matt und deprimiert. Ausserdem weist sie mit 40°C eine deutlich erhöhte Körpertemperatur auf, und das Atemgeräusch beim Abhorchen tönt etwas rauh. Im Blut sind die Entzündungszellen und Entzündungseiweisse erhöht. Der Hund erhält ein fiebersenkendes Mittel sowie ein Breitbandantibiotikum, da befürchtet wird, dass sich ein bakterieller Infekt eingestellt hat.
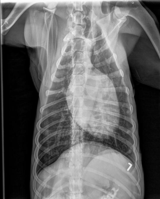
Leider bessert sich Asky's Zustand nicht wirklich, und die Hündin wird erneut vorgestellt. Nun werden Lungenröntgen angefertigt, die das ganze Ausmass des Problemes ans Licht bringen: Weite Teile der Lunge des Hundes erscheinen auf dem Röntgenbild weiss - hier ist die Luft durch Flüssigkeit oder Gewebe ersetzt worden. Wie Bäume im Nebel sind auch sogenannte Luftbronchogramme sichtbar - nur die grossen Bronchien enthalten noch Luft. Ganz offensichtlich hat sich Asky eine fulminante Lungenentzündung geholt!
Nun wird beraten, wie am besten vorgegangen werden könnte; auch der Rat der Gynäkologie-Spezialisten des Tierspitals Zürich wird eingeholt: Da die Zuchthündin Asky möglicherweise trächtig ist (wegen der kurzen Zeitdauer seit dem Decken ist eine Trächtigkeit aber noch nicht per Ultraschall feststellbar) sind wir in der Wahl der verwendeten Medikamente stark eingeschränkt. Die sonst normalerweise in solchen Situationen zusätzlich verabreichten Antibiotikagruppen können nicht eingesetzt werden, da sie allesamt problematisch für die allfälligen Föten sein könnten. Es bleibt nur zu hoffen, dass das schon frühzeitig eingesetzte Medikament die vorhandenen Bakterien mit der Zeit abtöten wird sowie den Hund mittels Inhalation und sogenannter Coupage zu behandeln. Hierbei wird der Hund mit Dampf und ätherischen Ölen inhaliert und anschliessend mittels Klopfen auf den Brustkorb die Sekrete in der Lunge gelöst.


Nun geht es der Hündin glücklicherweise langsam besser, und 10 Tage später wird das Tier nochmals geröntgt: Die Lungenentzündung hat sich komplett zurückgebildet - allerdings lässt sich im Ultraschall aber auch keine Trächtigkeit feststellen.


Zwingerhusten ist eine hochansteckende und lästige Krankheit beim Hund. Mehrere Viren, aber auch Bakterien wie Bordetella Bronchiseptica und Mycoplasmen können zum Zwingerhusten beitragen. In der Regel verläuft die Krankheit gutartig und heilt mit symptomatischer Therapie (Meiden von kalter, trockener Luft und Hustenmitteln) problemlos aus; die Hunde bleiben ansonsten bei gutem Allgemeinbefinden. Selten eskaliert ein Zwingerhusten in eine Lungenentzündung - bei Asky war es wichtig, gleich im ersten Moment aufgrund des Fiebers vorsichtshalber ein Antibiotikum einzusetzen. Bestürzt mussten wir aber zur Kenntnis nehmen, dass dies dem Hund in den ersten Tagen nicht wirklich zu helfen schien - da wir aufgrund der Möglichkeit einer Trächtigkeit nicht eine Doppel- oder gar Dreifachantibiose einsetzen konnten, schien der Hund in ernster Gefahr. Erst mit der hingebungsvollen manuellen Therapie (Coupage) durch die Besitzerin besserte sich der Zustand von Asky wieder. Ob überhaupt je eine Trächtigkeit bestanden hatte oder ob diese durch die schwere Erkrankung beendet wurde, lässt sich nicht abschliessend bestimmen.
In der normalen jährlichen Impfung ist eine virale Zwingerhustenkomponente enthalten; noch besser schützt aber eine in die Nasenlöcher applizierte Zwingerhustenimpfung, welche auch eine bakterielle Komponente enthält. Da aber eine Vielzahl von Erregern zur Krankheit beitragen können, schützt auch letztere Impfung nur unvollständig - im Gegensatz etwa zur Staupe- oder Parvoviroseimpfung.
© Dr. med. vet. P. Müller / Lyssbachvet