Vorgestellt wegen plötzlicher starker Lahmheit des linken Hinterbeines. Die Katze hat freien Auslauf.
Das linke Hinterbein wird vollständig entlastet. Es scheint in der Region des Unterschenkels schmerzhaft, es wird aber keine starke Instabilität festgestellt. Die Haut erscheint unverletzt. Die Katze atmet etwas schneller als normal.
Die Vorgeschichte und Untersuchungsergebnisse sind verdächtig für einen Unfall (z.B. Autounfall). Der Brustkorb wird geröntgt, da bei einem starken Aufprall die Lunge geschädigt werden kann. Auf dem Röntgenbild ist erkennbar, dass eine leichte Lungenblutung stattgefunden hat (Aufhellung im sonst dunklen Lungenfeld) und ein einseitiger Lungenriss vorhanden ist: Die Kontur des einen Lungenflügels ist klar erkennbar, was bedeutet, dass dieser Flügel teilweise kollabiert ist und Luft aus der Lunge in den Raum zwischen Lunge und Brustkorb eingedrungen ist (Pneumothorax). Beide Verletzungen sind relativ gering und bedürfen keiner direkten Therapie.
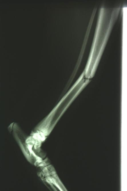
Auf dem Röntgenbild des Beines ist erkennbar, dass das Schienbein in der Mitte quer gebrochen ist. Feine Haarrisse ziehen von der Frakturspalte kniewärts. Das Wadenbein ist intakt, was die relative Stabilität des Bruchs erklärt.




Die Katze wird hospitalisiert und erhält zur Stabilisierung des Kreislaufes eine intravenöse Infusion. Die Atmung wird überwacht, und „Pfüdi“ erhält verschiedene Schmerzmittel. Zur vorübergehenden Stabilisierung des Bruchs wird ein Verband mit einer kleinen Schiene angelegt.
Die Fraktur ist auf Dauer konservativ nicht ausreichend stabilisierbar. Hierzu müsste das Gelenk ober- und unterhalb des Bruchs (d.h. Knie- und Sprunggelenk) immobilisiert werden, was aufgrund der Anatomie eines Katzenbeines nicht möglich ist. Zusammen mit den Besitzern wird entschieden, den Bruch mit einem sogenannten Fixateur Externe zu versorgen.
Nach vier Tagen wird nochmals ein Röntgen des Brustkorbs angefertigt, auf welchem erkennbar ist, dass sowohl Lungenblutung als auch Pneumothorax verheilt sind und eine Narkose somit möglich ist. Je zwei Stahlstifte werden ober- und unterhalb der Bruchstelle durch die Haut in den Knochen gebohrt und ausserhalb des Körpers mittels Klampen, Muttern und einem Verbindungsstift verbunden, was zusammen mit der stabilisierenden Wirkung des Wadenbeins eine ausgezeichnete Fixation ergibt. Der ausserhalb der Haut liegende Teil dieser Konstruktion wird mit einem gepolsterten „Verband“ umgeben, damit die Katze mit den Metallteilen nicht an Gegenständen hängen bleibt.




„Pfüdi“ belastet nach der Operation das Bein sofort wieder sehr gut, muss aber zur besseren Heilung 6 Wochen in seiner Bewegung eingeschränkt werden. Nach dieser Zeit wird ein Röntgenbild angefertigt, welches zeigt, dass die Fraktur sehr gut verheilt ist. Der Fixateur Externe wird in einer kurzen Narkose entfernt.


Grundsätzlich können Knochenbrüche konservativ (Verbände, Schienen, Gipse, Käfigruhe) oder chirurgisch (Platten, Schrauben, Stifte, Drahtungen, Fixateur Externe) behandelt werden. Je nach Lokalisation und Umstände ist eine konservative Behandlung angezeigt (z.B. Zehenbruch) oder aber eine chirurgische Intervention notwendig (z.B. unzureichende Fixationsmöglichkeit durch die Position des Bruchs). Bei „Pfüdi“ hätte das Alter des Tieres (Jungtiere haben eine sehr viel schnellere Knochenheilung als erwachsene Tiere) und der Umstand, dass das Wadenbein der Fraktur eine gewisse Stabilität verlieh, für eine Therapie mit einem Schienenverband und Boxenruhe gesprochen. Die Position des Bruchs (relativ weit oben am Bein, was eine ausreichende Ruhigstellung und damit Heilung der Fraktur stark erschwert), der grosse Bewegungsdrang des Tieres sowie der Umstand, dass „Pfüdi“ den provisorisch angelegten Verband nur sehr schlecht tolerierte, liessen aber eine chirurgische Intervention als viel erfolgsversprechender erscheinen.
Der Vorteil eines Fixateur Externes ist seine geringe Traumatisierung der Gliedmasse (der Hauptanteil des verwendeten Materials liegt ausserhalb des Körpers, weshalb die Frakturheilung nur minimal beeinträchtigt wird), und es können durch die sehr flexiblen Anordnungsmöglichkeiten von Stiften und Verbindungsstücken auch kompliziertere Splitterfrakturen fixiert werden. Die Montage ist relativ simpel und bedarf nicht einer umfangreichen Ausrüstung.
Als Nachteile sind das Volumen des ausserhalb des Körpers getragenen Gestelles und die Möglichkeit eines Wund- oder Knocheninfektes entlang der durch die Haut reichenden Stifte zu nennen.
© Dr. med. vet. P. Müller / Lyssbachvet