Baileys ist seit etwas länger als 2 Jahren bei ihren Besitzern, nachdem sie über eine Hilfsorganisation aus Spanien in die Schweiz gebracht worden war. Seit 2-3 Wochen scheint die Hündin matt, zeigt wechselhaften Appetit und gelegentlich Durchfall. Auch hat sie etwas Gewicht verloren.
Bei der Untersuchung ist festzustellen, dass die Lymphknoten generell vergrössert sind, auch Leber und Milz fühlen sich vergrössert an und die Hündin zeigt eine leicht erhöhte Körpertemperatur.
Aufgrund der Herkunft des Hundes steht mit diesen Befunden ein Infekt mit einer der im Mittelmeerraum vorkommenden Infektionskrankheiten im Vordergrund, alternativ wäre auch ein Krebsgeschehen denkbar. Eine genauere Abklärung des Problems wird eingeleitet.

Ein erster Blutuntersuch zeigt, dass der Hund stark erhöhte Leberwerte, erhöhte Spiegel von Entzündungseiweissen sowie eine leichte Blutarmut aufweist. Auch die Blutplättchen sind in geringerer Zahl vorhanden.
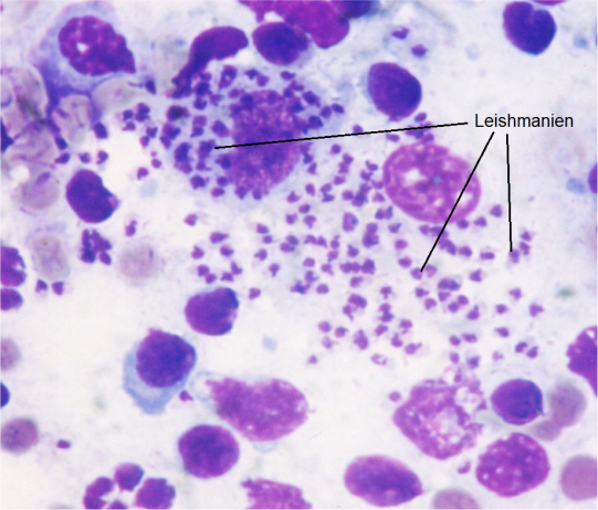
Im Ultraschall kann bestätigt werden, dass Leber und Milz stark vergrössert sind; strukturell erscheinen die beiden Organe aber unauffällig. Proben zur Zelluntersuchung werden aus den Lymphknoten sowie unter Ultraschallführung auch aus der Leber entnommen. Ausserdem wird Blut in ein externes Labor geschickt, um nach einer Serie von Erregern zu suchen.
Nach einigen Tagen haben wir Gewissheit: Baileys leidet nicht an Krebs, sondern an der Infektionskrankheit Leishmaniose. In den Proben aus Leber, Lymphknoten und im Blut hat eine DNA-Analyse entsprechende Erreger gefunden. Die anderen Tests auf weitere Mittelmeerkrankheiten verlaufen negativ.

Copyright Dantas-Torres F. via www.wikimedia.org
Unmittelbar nach Bekanntwerden der Untersuchungsergebnisse erhält Baileys zwei Medikamente, welche die Parasiten abtöten und deren Vermehrung bremsen. Ausserdem wird die Ernährung umgestellt, um allfällige langfristige Nebenwirkungen eines der Medikamente zu vermindern. Nach Bedarf können Medikamente gegen Fieber verabreicht werden.
Geplant sind erneute Blutuntersuchungen nach einem Monat, um den Erfolg der Therapie abschätzen zu können. Zum Zeitpunkt der Publikation dieses Artikels geht es Baileys nach knapp 2 Wochen Behandlung nur mässig besser.

Leishmaniose ist eine Infektionskrankheit, welche neben Hunden und diversen anderen Tierarten auch den Mensch betreffen kann. Sie ist weltweit in tropischen Gebieten (u.A. Süd- und Zentralamerika, Afrika, Asien), aber auch dem Mittelmeerraum verbreitet. Weltweit erkranken jährlich ca. 10 Millionen Menschen an der Krankheit. Die einzelligen Erreger werden über einen sogenannten Vektor, die Schmetterlingsmücke, mittels Stechakt übertragen. Nach der Erregerübertragung entscheidet der Typ des Einzellers sowie die Immunreaktion des Körpers über den weiteren Verlauf - je nachdem bleibt der Infekt still, entwickelt sich zu einem hauptsächlichen Hautproblem oder aber einem schwereren systemischen Infekt, welcher Leber, Milz, Knochenmark und andere Organe schädigen und zum Tod führen kann. Die Mechanismen, welche über die Verlaufsform bei Hund und Mensch entscheiden, sind gegenwärtig nicht bekannt.
Nach heutigem Verständnis ist eine komplette Erregereliminiation beim Hund, welcher systemisch erkrankt ist, nicht möglich. Die verwendeten Medikamente zielen darauf ab, die Parasitenzahl zu reduzieren und eine gute Lebensqualität zu erreichen. Die beim Hund verwendeten Medikamente können ihrerseits Nebenwirkungen verursachen - unter anderem steigt das Risiko von Nierenveränderungen und Harnsteinen.

Grafik mit freundlicher Genehmigung von Dr. M. Rossi (www.marco-rossi.de)
Leishmaniose beim Hund ist aus Schweizer Sicht eine eigentliche Reisekrankheit, mit welcher sich die Tiere insbesondere beim Aufenthalt im Mittelmeerraum anstecken können. Die übertragende Schmetterlingsmücke benötigt Durchschnittstemperaturen über 10°C und wird im Zuge der Klimaerwärmung zunehmend auch in der Schweiz (zB Tessin), in Deutschland oder gar Belgien nachgewiesen. Diese lokalen Mücken sind z.B. in der Schweiz aber (im Gegensatz zum Mittelmeerraum) überwiegend nicht mit Leishmanien infiziert.
Eine grosse Zahl von tierschützerischen Organisationen sind im Mittelmeerraum unter anderem mit dem Ziel aktiv, Strassenhunde vor Unterernährung, Krankheit und Tod mittels Platzierung in nördlicher gelegenen Ländern zu bewahren. Wohl werden viele dieser Hunde vor der Ausreise auf Mittelmeerkrankheiten getestet - jedoch besteht das Problem, dass die entsprechenden Tests allenfalls erst Monate oder gar Jahre nach Infekt positiv verlaufen und die Tiere trotz initial negativem Test später trotzdem erkranken. Bei Baileys war tatsächlich der Leishmaniose-Titer vor der Ausreise aus Spanien negativ ausgefallen. Auf diese Weise können die betroffenen Hunde als Erreger-Reservoir vor Ort dienen und erhöhen via Infizierung der lokalen Mücken so das Risiko für örtliche Hunde und Menschen, an Leishmaniose zu erkranken.
Aus diesem Grund ist aus tierärztlicher Sicht Vorsicht gegenüber der Adoption von Hunden aus entsprechenden Ländern angebracht. Der bewusste Import von leishmaniosekranken Tieren ist aus epidemiologischen Gründen problematisch. An dieser Stelle sei auf das Positionspapier der Schweizer Vereinigung für Kleintiermedizin SVK , der ESCCAP (Europäische Interessevereinigung für Haustierparasitologie) sowie einer entsprechenden Studie aus der Schweiz verwiesen.
Bei Reisen mit Hunden in ein Verbreitungsgebiet der Leishmaniose ist aus denselben Gründen auf eine gute Prophylaxe gegen Mückenstiche (in Form von Halsbändern oder Spot-On-Präparaten) zu achten. Eine "Leishmaniose-Impfung" existiert zwar; diese verhindert aber nicht eigentlich die Infektion als solche, sondern reduziert das Risiko einer fortschreitenden Erkrankung um den Faktor 3.6 gegenüber einem nichtgeimpften Hund.
© Dr. med. vet. P. Müller / Lyssbachvet