Wir sehen James Lee erstmals zur Zweitbeurteilung mittels Ultraschall. Zuvor war bei ihm ein grosser Blasenstein festgestellt worden; aufgrund der im Urin vorgefundenen Kristalle musste davon ausgegangen werden, dass der Stein aus Cystin bestand. Mittels eines Futterwechsels und dem Einsatz eines Medikamentes war über eine längere Zeit versucht worden, den Stein aufzulösen. Dem Rüden geht es gut, selten zeigt er nach dem Harnabsatz ein Nachpressen und verliert tropfenweise Urin.

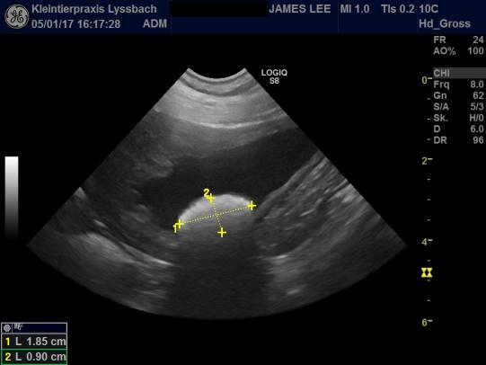
Der liebenswürdige Rüde lässt sich gut untersuchen - äusserlich ist der Hund unauffällig. Im Ultrsachall zeigt sich jedoch, dass sich der Blasenstein seit der letzten Kontrolle keineswegs verkleinert hat - mit gut 2 cm Durchmesser ist er sogar noch etwas grösser als bei der letzten Kontrolle.
Leider muss davon ausgegangen werden, dass sich der Stein mit den angewendeten Mitteln nicht auflösen lässt und er via Chirurgie entfernt werden muss, um den Hund von dieser chronischen Irritation zu befreien. Der Rüde wird in Narkose gelegt und es wird versucht, ein Harnröhrenkatheter zu legen, um die Blase intraoperativ spülen und die in der Blasenwand gesetze Naht auf ihre Dichtigkeit prüfen zu können. Leider stellt sich heraus, dass ein Katheter von normaler Grösse nicht vorgeschoben werden kann; eine Kathetrisierung lässt sich nur mit einer sehr dünnen Sonde überhaupt bewerkstelligen. Eine Röntgenaufnahme, bei welcher ein Kontrastmittel in die Harnröhre gespritzt wird, bestätigt unsere Befürchtungen: In der Harnröhre befinden sich unmittelbar hinter dem Penisknochen mehrere kleine Blasensteinchen, welche sich dort festgesetzt haben und sich auch mit Druck nicht in die Blase zurückspülen lassen. James Lee wird geweckt, und wir besprechen mit den Besitzern das weitere Vorgehen.

Obwohl James Lee nicht ein absoluter Notfall ist, da er trotz der teilweisen Blockade der Harnröhre in der Lage ist, Harn abzusetzen, ist der Zustand natürlich mittelfristig so nicht tragbar. Als therapeutische Optionen stehen eine Perineale Urethrostomie (d.h. das chirurgische Schaffen einer künstlichen Harnröhrenöffung vor dem Engnis in der Harnröhre) oder eine Entfernung der Harnröhrensteine mittels Lithotripsie zur Verfügung. Bei letzterer Prozedur werden die verkeilten Harnröhrensteine mit einem Laser, welcher mit einem feinen Endoskop an der richtigen Stelle positioniert wird, zertrümmert und können so ausgespült werden. Das Verfahren wird in der Schweiz nur am Tierspital Zürich angeboten, weshalb der Rüde dorthin überwiesen wird.
In einer mehrstündigen Operation werden kurz darauf am Unispital die Harnröhrensteine zertrümmert und der grosse Blasenstein chirurgisch entfernt. Aus verschiedenen Gründen verzichten die Besitzer auf eine gleichzeitige Kastration, welche allenfalls das Rezidivrisiko senken könnte. 10 Tage später werden die Hautfäden entfernt, dem Hund geht es wieder gut.
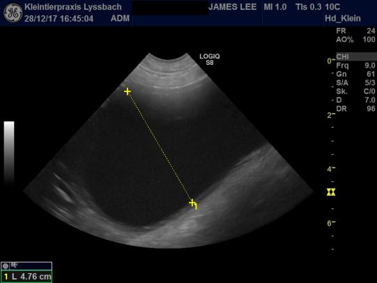
Ein halbes Jahr später kontrollieren wir die Blase des Rüden erneut mittels Ultraschall. Leider müssen wir feststellen, dass sich in der kurzen Zeit erneut ein Blasenstein von praktisch gleicher Grösse gebildet hat - und dies obwohl weiterhin ein Spezialfutter, welches eigentlich die Cystinstein-Bildung verhindern sollte, verabreicht worden war.
Nach längerer Diskussion entschliessen wir uns gegen eine erneute Operation. Stattdessen implantieren wir einen Hormon-Chip, welcher den Rüden für ein halbes Jahr chemisch kastriert - in der Hoffnung, dass die Abwesenheit von Testosteron den Stein günstig beeinflussen könnte. Schliesslich finden sich Cystinsteine fast ausschliesslich bei Rüden, und die Literatur beschreibt bei gewissen Rassen ein deutlich vermindertes Risiko der Steinbildung bei kastrierten gegenüber intakten Rüden.

Ein knappes Jahr später sehen wir Janes Lee erneut - zu unserer Freude hat sich der Blasenstein komplett zurückgebildet und ist verschwunden.

Cystin-Blasensteine werden eher selten beobachtet. Cystin ist eine Aminosäure und kann, wenn im Übermass im Urin ausgeschieden, zu Blasensteinen führen. Interessanterweise sind weit über 90% der betroffenen Hunde Rüden. Ausgelöst wird das Problem durch eine fehlerhafte Ausscheidung von gewissen Aminosäuren (Cystin, Ornithin, Lysin, Arginin) über die Nieren - da Cystin schlecht löslich ist, bildet diese Aminosäure als einzige Harnsteine. Bei gewissen Rassen (zB Australian Cattledog) ist ein genetischer Defekt als Ursache identifiziert worden, bei vielen Rassen und Individuen ist der Grund für das Problem aber noch unbekannt. Allerdings bestehen Hinweise darauf, dass eine Kastration das Risiko der Harnsteinbildung über einen unbekannten Mechanismus senken könnte - laut einer neuen Studie aus England tragen unkastrierte Rüden ein etwa 4.5x höheres Risiko, Cystinsteine zu bilden als kastrierte.
Vieles ist also noch unbekannt - es bleibt zu hoffen, dass der Wegfall von Testosteron bei James Lee das Problem langfristig lösen kann. Das verwendete Hormonimplantat könnte dafür zwar problemlos regelmässig erneuert werden - eine chirurgische Kastration würde diesbezüglich aber den wiederholten Tierarztbesuch überflüssig machen.
© Dr. med. vet. P. Müller / Lyssbachvet