Vorgestellt wegen zwischenzeitlichem Erbrechen und Durchfall, lauten Darmgeräuschen und leicht vermindertem Allgemeinzustand und Appetit.
Eine fussballgrosse Masse/Knoten ist im vorderen Bereich des Bauchraumes tastbar. Die Abtastung der Masse scheint leicht schmerzhaft. Der restliche Untersuch ist normal.
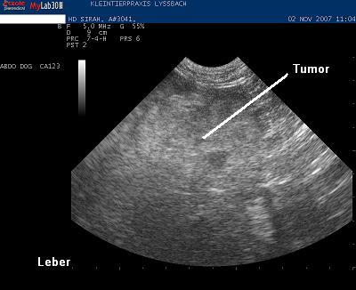
Es ist ein Knoten von ca. 20 cm Durchmesser im vorderen, unteren Teil des Bauchraumes sichtbar. Die Masse liegt teilweise unter dem Rippenbogen. Der Magen ist aufgrund der Masse gegen die Wirbelsäule verdrängt. Verdacht: Lebergeschwulst.

Die Untersuchung bestätigt, dass der Geschwulst von der Leber ausgeht. Die Leber ist weiträumig durchsetzt von grossen und kleinen Knoten von unterschiedlicher Echotextur und Echogenität. Dringender Verdacht eines Lebertumors (Leberkrebs).


Mit einer feinen Kanüle wird unter Ultraschallführung am wachen Tier eine schmerzlose sogenannte Feinnadelaspiration der Leber durchgeführt. Die Ausstriche werden in einem externen Labor von einem Pathologen untersucht. Er stellt die Diagnose eines „Hepatozellulären Karzinoms“. Dieser von der Leber ausgehende, bösartige Krebstyp befällt vor allem ältere Hunde und kann wegen fehlenden Krankheitssymptomen lange unentdeckt bleiben.

Da mehrere Leberlappen vom Geschwulst befallen sind, kommt bei unserer Patientin eine chirurgische Entfernung des Krebses nicht in Frage. Aufgrund des Alters wird auch auf eine Chemotherapie verzichtet. Die Hündin muss leider nach zwei Monaten wegen rapider Verschlechterung des Appetits und des Allgemeinzustandes eingeschläfert werden.
Etwa die Hälfte aller Leber-Geschwulste stammen von den eigentlichen Leberzellen ab. Die restlichen Fälle werden durch Entartung der Lebergefässe, der Gallengänge, des Leber-Bindegewebes etc. verursacht. Neben diesen sogenannten primären Lebertumoren können in der Leber auch Ableger von Geschwulsten in anderen Organen vorkommen.
Lebertumoren kommen vor allem bei älteren Hunden vor. Falls die chirurgische Entfernung technisch möglich ist (z.B. wenn nur ein Leberlappen betroffen ist), kann dem Patienten eine gute Prognose gestellt werden.
© Dr. med. vet. P. Müller / Lyssbachvet